IGFBPs: Pathological disorder biomarkers

Insulin-like growth factor binding proteins (IGFBPs), a class of secreted proteins, act as transport proteins for insulin-like growth factors (IGFs) with high affinity and regulate the bioavailability and function of IGFs (IGF1 and IGF2).

The IGFBPs consist of IGFBP1IGFBP2IGFBP3IGFBP4, BPIGF5IGFBP6, and IGFBP7 (an IGFBP-related protein) and can have IGFs (IGF1 and IGF2) dependent or independent functions to regulate cell growth, migration, apoptosis, and adhesion.

IGFBPs are becoming more widely recognized as biomarkers for a variety of diseases, such as cancer, heart failure, and autoimmune disorders. IGFBPs also influence the TGF-β (through Activin A) and FGF2/FGFR1/PI3K/AKT signaling axes, which contribute to tumor development.

The use of IGFBPs in the diagnosis and prognosis prediction of various solid tumors has also been supported by recent research.

Sino Biological offers a comprehensive collection of proteins and antibodies covering IGFBPs and related molecules.

Cellular activity of IGFBPs.

Figure 1. Cellular activity of IGFBPs. Image Credit: Sino Biological Inc.

Featured recombinant IGFBPs and related proteins

Sino Biological has been cited in numerous top-tier journals and provides high-quality IGFBPs and related proteins with strict quality control.

  • High-purity
  • Low-endotoxin
  • Activity-validated
  • Cited by researchers

Human IGFBP3 protein (Cat#: 10430-H07H)

Inhibit the biological activity of IGFI or IGFII on MCF7 human breast adenocarcinoma cells.

Inhibit the biological activity of IGFI or IGFII on MCF7 human breast adenocarcinoma cells. Image Credit: Sino Biological Inc.

Human IGFBP4 protein (Cat#: 10967-H08H)

Inhibit the biological activity of IGFI or IGFII on MCF7 human breast adenocarcinoma cells.

Inhibit the biological activity of IGFI or IGFII on MCF7 human breast adenocarcinoma cells. Image Credit: Sino Biological Inc.

Human IGFBP 5 protein (Cat#: 10206-H08B)

Inhibit the biological activity of IGFI or IGFII on MCF7 human breast cancer cells.

Inhibit the biological activity of IGFI or IGFII on MCF7 human breast cancer cells. Image Credit: Sino Biological Inc.

Human IGFBP7 protein (Cat#: 13100-H41H-B)

Immobilized human CD93 protein (Cat#: 12589-H08H) can bind human IGFBP7 protein

Immobilized human CD93 protein (Cat#: 12589-H08H) can bind human IGFBP7 protein. Image Credit: Sino Biological Inc.

Human IGF1 protein (Cat#: 10598-HNAE)

Immobilized human IGF1 protein can bind human IGFBP4 protein (Cat#: 10967-H08H).

Immobilized human IGF1 protein can bind human IGFBP4 protein (Cat#: 10967-H08H). Image Credit: Sino Biological Inc.

Mouse IGFBP2 protein (Cat#: 51124-M02H)

Inhibit the biological activity of IGFII on MCF7 human breast adenocarcinoma cells.

Inhibit the biological activity of IGFII on MCF7 human breast adenocarcinoma cells. Image Credit: Sino Biological Inc.

More recombinant IGFBPs and related proteins (partial)

Table 1. Source: Sino Biological Inc.

Cat# Species Proteins Expression Host Purity Activity Tag
70254-D08H
1 Citation
Canine IGFBP1 HEK293 Cells > 95 %   His
90085-C08H Rhesus HEK293 Cells > 98 % Active His
51124-M08H Mouse IGFBP2 HEK293 Cells > 70 % Active His
90084-C07H
5 Citations
Cynomolgus IGFBP3 HEK293 Cells > 95 % Active His
50250-M08H
2 Citations
Mouse IGFBP4 HEK293 Cells > 95 % Active His
90080-C08H Cynomolgus HEK293 Cells > 80 % Active His
70042-D02H
1 Citation
Canine IGFBP5 HEK293 Cells > 95 %   hFc
90283-C08H Cynomolgus HEK293 Cells > 90 %   His
13026-H08H
1 Citation
Human IGFBP6 HEK293 Cells > 96 % Active His
50460-M08H Mouse HEK293 Cells > 92 % Active His
81473-R08H Rat HEK293 Cells > 95 % Active His
13100-H02H
1 Citation
Human IGFBP7 HEK293 Cells > 85 % Active hFc
13100-H07H Human HEK293 Cells > 92 % Active His
13100-H08H
1 Citation
Human HEK293 Cells > 92 %   His
13100-H56H-B Human HEK293 Cells ≥ 90 % (SEC-HPLC)   His & AVI
51125-M02H Mouse HEK293 Cells > 95 %   hFc
50437-MNAY
2 Citations
Mouse IGF1 Yeast > 95 % Active Native
13032-HNAY Human IGF-II Yeast > 95 %   Native
10164-H08H
3 Citations
Human IGF1R HEK293 Cells > 90 % Active His
10164-H20B1 Human Baculovirus-Insect Cells > 85 % Active His & GST
51038-M08H Mouse HEK293 Cells > 95 %   His

 

Featured antibodies for IGFBPs and related molecules

With a variety of applications, including ELISA, IHC-P, FCM, IP, and WB, Sino Biological has created a panel of antibodies targeting IGFBPs and associated molecules.

Immunofluorescence staining of IGFBP7 in HeLa cells.

Immunofluorescence staining of IGFBP7 in HeLa cells. Image Credit: Sino Biological Inc.

  • Anti-IGFBP7 antibody
    • Type: Rabbit MAb
    • Ig Type: Rabbit IgG
    • Applications: ELISA, ICC/IF

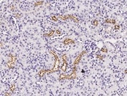
Immunochemical staining of mouse IGFBP2 in mouse kidney.

Immunochemical staining of mouse IGFBP2 in mouse kidney. Image Credit: Sino Biological Inc.

  • Anti-IGFBP2 antibody
    • Type: Rabbit PAb
    • Ig Type: Rabbit IgG
    • Applications: WB, IHC-P, IP

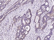
Immunochemical staining of cynomolgus IGFBP3 in human colon carcinoma.

Immunochemical staining of cynomolgus IGFBP3 in human colon carcinoma. Image Credit: Sino Biological Inc.

  • Anti-IGFBP-3 antibody
    • Type: Rabbit PAb
    • Ig Type: Rabbit IgG
    • Applications: ELISA, IHC-P

Immunofluorescence staining of human IGF1R in MCF7 cells.

Immunofluorescence staining of human IGF1R in MCF7 cells. Image Credit: Sino Biological Inc.

  • Anti-IGF1R antibody
    • Type: Rabbit MAb
    • Ig Type: Rabbit IgG
    • Applications: FCM, ICC/IF

More antibodies for IGFBPs and related proteins (partial)

Table 2. Source: Sino Biological Inc.

Cat# Antigen Species Clonality Ig Type Application
107967-T32 IGFBP1 Mouse Rabbit PAb Rabbit IgG WB
51124-R106 IGFBP2 Mouse Rabbit MAb Rabbit IgG ELISA
90083-T60 Rhesus Rabbit PAb Rabbit IgG WB, ELISA, IHC-P, IP
90083-MM05 Rhesus Mouse MAb Mouse IgG1 IHC-P
90083-MM04 Rhesus Mouse MAb Mouse IgG2a ELISA
90083-MM06 Rhesus Mouse MAb Mouse IgG1 WB
10430-MM01 IGFBP3 Human Mouse MAb Mouse IgG2a ELISA
10430-R010 Human Rabbit MAb Rabbit IgG ELISA (Cap)
10430-T16 Human Rabbit PAb Rabbit IgG ELISA
90084-RP01 Cynomolgus Rabbit PAb Rabbit IgG ELISA
10967-MM02 IGFBP4 Human Mouse MAb Mouse IgG1 ELISA
50250-T16 Mouse Rabbit PAb Rabbit IgG ELISA
90080-MM01 Cynomolgus Mouse MAb Mouse IgG1 ELISA
90080-T24 Cynomolgus Rabbit PAb Rabbit IgG ELISA, IHC-P
13026-R001-H IGFBP6 Human Rabbit MAb Rabbit IgG ELISA
13026-MM08 Human Mouse MAb Mouse IgG1 ELISA
13026-T24 Human Rabbit PAb Rabbit IgG ELISA, IHC-P
50460-T24 Mouse Rabbit PAb Rabbit IgG ELISA, IHC-P
13100-R065 IGFBP7 Human Rabbit MAb Rabbit IgG IP
13100-MM01-H Human Mouse MAb Mouse IgG1 ELISA
13100-R115 Human Rabbit MAb Rabbit IgG IHC-P
13100-RP01 Human Rabbit PAb Rabbit IgG ELISA
13100-T52 Human Rabbit PAb Rabbit IgG WB, ELISA, IP
104116-T08 IGF1 Mouse, Rat Rabbit PAb Rabbit IgG IHC-P
10598-R023 Human Rabbit MAb Rabbit IgG ELISA
10164-R011 IGF1R Human Rabbit MAb Rabbit IgG ELISA
10164-R012 Human Rabbit MAb Rabbit IgG FCM, ICC/IF
10164-RP01 Human Rabbit PAb Rabbit IgG ELISA
10164-R012-F Human Rabbit MAb Rabbit IgG FCM
10164-MM04 Human Mouse MAb Mouse IgG2a ELISA
13032-T16 IGF-II Human Rabbit PAb Rabbit IgG ELISA
106310-T08 Mouse Rabbit PAb Rabbit IgG IHC-P
50040-R110 Mouse Rabbit MAb Rabbit IgG ELISA
50040-RP01 Mouse Rabbit PAb Rabbit IgG ELISA

 

Other related molecules

  • BAX
  • SMAD3
  • SMAD2
  • SMAD4
  • RAS
  • ERK
  • MEK
  • IGF1R
  • MMP-9
  • LRP1
  • BCL-2

Other Equipment by this Supplier

While we only use edited and approved content for Azthena answers, it may on occasions provide incorrect responses. Please confirm any data provided with the related suppliers or authors. We do not provide medical advice, if you search for medical information you must always consult a medical professional before acting on any information provided.

Your questions, but not your email details will be shared with OpenAI and retained for 30 days in accordance with their privacy principles.

Please do not ask questions that use sensitive or confidential information.

Read the full Terms & Conditions.