This article and associated images are based on a poster originally presented at ELRIG Drug Discovery 2025 in affiliation with Frontier Space Technologies.
This poster is being hosted on this website in its raw form, without modifications. It has not undergone peer review but has been reviewed to meet AZoNetwork's editorial quality standards. The information contained is for informational purposes only and should not be considered validated by independent peer assessment.

Why microgravity?
Microgravity offers a disruptive environment for drug discovery by removing convection and sedimentation. This enables higher-quality protein crystals, more physiologically relevant 3D cell cultures, and accelerated modeling of aging-like processes. Together, these advantages can improve target validation, reduce clinical trial attrition, and speed the development of new therapies.
Improved protein crystallization
Crystals grown in microgravity are often larger, more uniform, and provide sharper diffraction data than those produced on Earth. These improvements allow finer structural details to be resolved, including active sites and bound molecules. A 2022 analysis showed that in about 84 % of cases, microgravity-grown crystals achieved better resolution, with average gains of 0.23–0.30 Å.
3D cell culture
In microgravity, cells naturally form 3D spheroids and organoid-like structures without scaffolds. These models reproduce tissue architecture more accurately and show gene expression patterns closer to human biology. For example, cardiac spheroids grown aboard the ISS displayed enhanced expression of genes linked to differentiation and proliferation compared with 1G controls.
Improved protein bio-productions
Microgravity also boosts protein expression and secretion. In Pichia pastoris, enzyme secretion increased by 1.5–2.2 fold under simulated microgravity. Studies in E. coli revealed upregulation of ribosomal proteins, folding chaperones, and export pathways, resulting in higher recombinant protein yield.

Figure 1a. Compared to ground experiments, crystals grown in a microgravity environment continue to show improvement across all metrics evaluated. Image Credit: ELRIG (UK) Ltd.

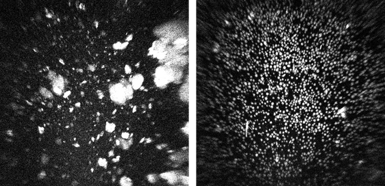
Figure 1b. Delta-to-Gravity™ analytic scenario comparing protein crystal formation in ground vs. flight samples (right). Size, structure, and morphology are automatically quantified. T- and KS-tests show that the microgravity sample has more crystals and a more uniform distribution. (T-stat: 4.162, P-value: 3.771 x 10-5 and KS-stat: 0.335, P-value: 1.075 x 10-10). Image Credit: ELRIG (UK) Ltd.

Figure 2a. Confocal fluorescence microscopy of 3D cell cultures (purple=mitochondria; green=nuclei). Image Credit: G-Space

Figure 2b. Comparison of hydrogel-based 3D cell culture and traditional 2D culture (Bar = 200 μm). Image Credit: ELRIG (UK) Ltd.

Figure 3. PCG-5 experiment on the ISS produced a high-quality crystalline suspension. Image Credit: ELRIG (UK) Ltd.
Microgravity vs Earth
Protein Crystallization
Earth: Crystals are often small, irregular, with internal defects, limiting diffraction resolution.
Microgravity: Larger, more uniform crystals; reduced defects; improved diffraction data (0.2 - 0.3 Å resolution gain reported in multiple ISS studies).
Biophysics beyond gravity
Earth: Gravity causes convection currents, sedimentation, and buoyancy-driven flow in liquids. This disturbs crystal formation, cell growth, and molecular diffusion.
Microgravity: Cells self-assemble into 3D spheroids and organoids without scaffolds; gene expression patterns closer to in vivo tissue.
Cell culture and tissue models
Earth: Cells grow as 2D monolayers due to gravity pulling them flat; they require scaffolds to mimic a 3D environment.
Microgravity: Cells self-assemble into 3D spheroids and organoids without scaffolds; gene expression patterns closer to in vivo tissue.
Disease and age modeling
Earth: Ageing, bone loss, and muscle atrophy occur slowly, years to decades.
Microgravity: Accelerated changes, rodents lose 1-2 % bone mass/month (10x faster); muscle atrophy and immune suppression within weeks.
Bioproduction
Earth: Protein expression constrained by shear stress, uneven mixing, and sedimentation.
Microgravity: Cells exhibit altered translation dynamics to higher yields, improved folding, and secretion of biologics.

Figure 4. Growth (OD600) over time of Bacillus safensis JPL-MERTA-8-2 in space (green) and on Earth (brown). Image Credit: ELRIG (UK) Ltd.

Figure 5. The figure illustrates the average cell densities and growth curves at various acceleration levels. 'Simulated' 0 g was achieved using a horizontal clinostat, while 0.5 g was 'simulated' using an inclined clinostat. Image Credit: ELRIG (UK) Ltd.

Figure 6. Compared to ground experiments, crystals grown in a microgravity environment continue to show improvement across all metrics evaluated. Image Credit: ELRIG (UK) Ltd.
Success stories
Protein crystallization of Keytruda (Merck, 2018–2022)
Objective
Pembrolizumab (Keytruda®), an immune checkpoint inhibitor, is a monoclonal antibody used in the treatment of multiple cancers. To further refine its structure and optimize development, Merck investigated whether microgravity could improve antibody crystal quality.
Findings
- Experiments conducted aboard the International Space Station (ISS) demonstrated that pembrolizumab crystals grown in microgravity:
- Were larger and more uniform compared to Earth-grown controls
- Exhibited higher diffraction resolution, enabling more detailed structural analysis
- Displayed fewer structural defects, improving reproducibility in crystallographic studies
- The absence of convection and sedimentation forces in space allowed crystals to form in a slower, more ordered fashion.
Impact
- Provided clearer structural data for pembrolizumab, enhancing understanding of antibody conformation and stability
- Opened the door to structurally informed design of biologics, where antibodies, enzymes, and complex macromolecules can be engineered with higher precision
- Showcased the feasibility of routine pharma R&D in orbit, with direct applications to oncology and immunotherapy pipelines

Figure 7. UV imaging of a ground control sample (left) and spaceflight sample (right) from Merck’s investigation, clearly showing the much more uniform size and distribution of crystals grown in microgravity. Image Credit: Merck ISS crystallization experiments (2018-2022), public press communications, and NASA reporting.
Pf GST crystallization in microgravity (npj Microgravity, 2022)
Objective
The Plasmodium falciparum glutathione-S-transferase (Pf GST) protein is a malaria-related target. Researchers aimed to determine whether microgravity could improve the quality of Pf GST crystals, enabling more precise structural biology for malaria drug discovery.
Findings
Crystals grown in microgravity demonstrated significant advantages over Earth-grown controls:
- Higher resolution in X-ray diffraction → revealed finer structural details
- Lower mosaicity → crystals were more internally ordered, improving data quality
- Reduced incorporation of aggregates and impurities (p < 0.01, statistically significant)
- Additional proteins studied in the same campaign - lysozyme and bovine serum albumin (BSA) confirmed the trend, showing systematic improvements under microgravity conditions
Impact
- Validated microgravity as a robust method for improving crystallization outcomes across multiple proteins.
- Provided insights for malaria research, where improved structural understanding is crucial for rational drug design.
- Demonstrated generalizability: microgravity crystallization benefits a broad range of targets, not just malaria proteins, making it a powerful enabling technology for drug discovery.

Figure 8a. Under microgravity conditions, 8b on earth and resulting effects on protein crystal quality/mosaicity are shown. Image Credit: Nature npj Microgravity, 2022
Osteoporosis & bone loss research (Amgen, 2001–2005; ISS)
Objective
Osteoporosis and cancer-related bone loss represent major unmet clinical needs, driven by the breakdown of bone tissue. Amgen partnered with NASA to determine whether microgravity could serve as a rapid model of skeletal degeneration, accelerating preclinical testing of bone-targeting drugs.
Findings
- Rodents flown to the ISS between 2001 and 2005 exhibited:
- Accelerated bone density loss, mimicking years of osteoporosis within weeks
- Clearer insights into bone resorption pathways under extreme physiological stress
- This allowed Amgen researchers to test anti-resorptive drugs, including denosumab (Prolia®/ Xgeva®), in a compressed timeframe.
- Comparative studies confirmed the model’s translational relevance to human bone biology.
Impact
- Demonstrated that space acts as a 'fast-forward button' for aging and degeneration, allowing rapid evaluation of therapies
- Supported the clinical validation of denosumab, now a widely used treatment for osteoporosis and metastatic bone disease
- Highlighted microgravity as a valuable disease model for age-related conditions beyond osteoporosis, including muscle atrophy and cardiovascular decline

Figure 9. NASA astronaut Barry Wilmore setting up the Rodent Reseach-1 Hardware in the Microgravity Science Glovebox aboard the ISS. Image Credit: Amgen ISS rodent studies (2001–2005), published in NASA reports and Amgen scientific documentation
Innovation
Driving innovation in Frontier SpaceLab
Frontier SpaceLab represents a paradigm shift in space-enabled biotechnology. Where previous orbital facilities, such as the International Space Station (ISS), were built as broad research environments often tailored to physics and engineering experiments, Frontier SpaceLab is the first orbital laboratory designed from the ground up for life sciences and pharmaceutical R&D.
- End-to-end automation: Fully autonomous operations from experiment setup to in-orbit execution, SpaceLab requires minimal astronaut involvement.
- Modularity and scalability: Plug-and-play modules for each unit can be configured for specific applications such as protein crystallization, 3D organoid growth, tissue chips, or even microbial/yeast-based bioproduction.
- Repeatability and cadence: Fast turnaround for standardized hardware reduces prep time, enabling new studies within months rather than years.
- Affordability and accessibility: Commercial model - shared missions and modular payloads lower financial barriers and reduce cost compared to traditional ISS experiments.
SpaceLab-P (passive) and SpaceLab-A (active)

Image Credit: ELRIG (UK) Ltd.

Image Credit: ELRIG (UK) Ltd.
R&D
Orbital research platform
Frontier SpaceLab represents a paradigm shift in space-enabled biotechnology. Where previous orbital facilities, such as the International Space Station (ISS), were built as broad research environments often tailored to physics and engineering experiments, Frontier SpaceLab is the first orbital laboratory designed from the ground up for life sciences and pharmaceutical R&D.
- End-to-end automation: Fully autonomous operations from experiment setup to in-orbit execution, SpaceLab requires minimal astronaut involvement.
- Modularity and scalability: Plug-and-play modules for each unit can be configured for specific applications such as protein crystallization, 3D organoid growth, tissue chips, or even microbial/yeast-based bioproduction.
- Repeatability and cadence: Fast turnaround for standardized hardware reduces prep time, enabling new studies within months rather than years.
- Affordability and accessibility: The commercial model shares missions and modular payloads, lowering financial barriers and reducing costs compared to traditional ISS experiments.
How they de-risk and launch into space
- Autonomous, modular, and scalable platform
- Integrated microfluidics and in situ monitoring
- Robust environmental control
- Turn-key solution.

Image Credit: ELRIG (UK) Ltd.
G-Space Value Prop
Quantify microgravity impact now. Use the insights to visualize and plan.
Benefits
- Standardized morphology detection and quantification (size distribution, stats, etc) in minutes
- Side-by-Side (Delta-to-Gravity™) condition comparison, with and without gravity
- Make go/no-go calls faster with instant plots and ready-to-share visuals and predictions.
- Reuse and scale with automated workflows for time series and batch analyses.
Biomanufacturing

Image Credit: ELRIG (UK) Ltd.
Representative outputs from G-SPACE degradation models and image/ video analytics applied to microgravity tissue studies (top and right). The company quantifies local and global morphological changes (e.g., density, synchronicity), computes correlations, and tracks the time evolution of cell differentiation and tissue maturity by measuring cell counts and total area on a daily basis.
Bone aging
Microscopic mouse femur analysis with OCN staining. GSPACE enables users to explore size distributions and calculate stained areas, facilitating the quantification of bone formation and simplifying the evaluation of treatment efficacy (right).

Image Credit: ELRIG (UK) Ltd.
Enabling UK innovation beyond Earth
The Satellite Applications Catapult is an independent innovation and technology company that helps UK organizations harness space to drive growth, productivity, and sustainability across various sectors. By connecting businesses, researchers, and government, Frontier translates space capabilities into real-world impact.
Through the Beyond Earth Mission, Frontier enables UK organizations to explore and exploit the opportunities that in-orbit microgravity research and development (R&D) offers to the BioPharma, advanced materials, and high-performance product sectors. Microgravity provides unique conditions to study biological, chemical, and physical processes unconstrained by gravity, accelerating the discovery of novel medicines, improving formulations, and advancing manufacturing techniques.
The Working Group welcomes customer input to identify the best use cases for microgravity research. With contributions, they can help customers use in-orbit R&D to advance therapeutic development, overcome formulation challenges, and maximize clinical and pipeline benefits.
To learn more about the workshop, access the report, or contribute to the Working Group, please get in touch with William Birch of the Satellite Applications Catapult or a member of the Frontier Space Technologies team.
Frontier Space exemplifies UK innovation in this field. They are pioneering practical, scalable services that will allow the BioPharma sector to deepen understanding of biological processes, identify new therapeutic pathways, and enhance drug formulation, manufacture, and delivery, improving both healthcare outcomes and supply-chain resilience.
Challenges remain to the widespread adoption of space-enabled microgravity for drug discovery, including technical, regulatory, and operational barriers. The Catapult is proud to have worked with Frontier Space Technologies to help advance this strategically important opportunity for the UK.

In spring 2025, the Catapult hosted a workshop bringing together leaders from the BioPharma and Space sectors, alongside key agencies such as the Medicines Discovery Catapult. The event explored how orbital space can be used to accelerate drug discovery and development, leading to the creation of the Microgravity Life Sciences Working Group to sustain collaboration and momentum. Image Credit: ELRIG (UK) Ltd.
About Frontier Space Technologies 
Frontier Space Technologies was founded in 2021 by four graduates from Cranfield University who shared a vision to break the cycle of innovative technologies becoming trapped in perpetual R&D.
Since its founding, the company has expanded to include a dedicated technical and commercial team united by a mission to make the unique environment of space more accessible and to harness its potential to benefit life on Earth. With demonstrations of its in-space R&D and biomanufacturing platforms scheduled for 2025, Frontier Space Technologies is redefining space not as the final frontier, but as the next step in human innovation.
About ELRIG (UK) Ltd.
The European Laboratory Research & Innovation Group (ELRIG) is a leading European not-for-profit organization that exists to provide outstanding scientific content to the life science community. The foundation of the organization is based on the use and application of automation, robotics and instrumentation in life science laboratories, but over time, we have evolved to respond to the needs of biopharma by developing scientific programmes that focus on cutting-edge research areas that have the potential to revolutionize drug discovery.
Comprised of a global community of over 12,000 life science professionals, participating in our events, whether it be at one of our scientific conferences or one of our networking meetings, will enable any of our community to exchange information, within disciplines and across academic and biopharmaceutical organizations, on an open access basis, as all our events are free-of-charge to attend!
Our values
Our values are to always ensure the highest quality of content and that content will be made readily accessible to all, and that we will always be an inclusive organization, serving a diverse scientific network. In addition, ELRIG will always be a volunteer led organization, run by and for the life sciences community, on a not-for-profit basis.
Our purpose
ELRIG is a company whose purpose is to bring the life science and drug discovery communities together to learn, share, connect, innovate and collaborate, on an open access basis. We achieve this through the provision of world class conferences, networking events, webinars and digital content.
Sponsored Content Policy: News-Medical.net publishes articles and related content that may be derived from sources where we have existing commercial relationships, provided such content adds value to the core editorial ethos of News-Medical.Net which is to educate and inform site visitors interested in medical research, science, medical devices and treatments.
Last Updated: Nov 13, 2025