History of Dental Implants

Throughout the history of civilization, significant value has been seen in the presence of a complete set of teeth, both for functional and aesthetic reasons. This has driven people all over the world in various time eras to replace missing teeth, eventually leading to the invention and use of dental implants.

Ancient History

As early as 2000 BC, early versions of dental implants were used in the civilization of ancient China. Carved bamboo pegs were originally used to replace the missing teeth at this time.

The first recorded case of a replacement tooth made of metal comes from the body of an Egyptian king who lived in approximately 1000 BC. His upper jawbone has a copper peg that has been hammered into it, although it is not certain if the peg was attached during his lifetime as a tooth replacement or after his death.

Archaeological excavations in France uncovered a Celtic grave in France with a false tooth made of iron that is believed to have originated from approximately 300 BC. However, experts believe that it is more likely that this was hammered into the jaw post mortem for aesthetic reasons because the pain of its installation during life would have been excruciating.

It was relatively common in ancient history for missing teeth to be replaced with teeth from animals or other people. Today, an implant sourced from another human being would be classified as a homoplastic implant, whereas an implant sourced from an animal would be classified as a heteroplastic implant. This risk of infection and implant rejection is higher for dental implants that come from another person or animal.

Various other materials have also been found by archaeologists in the jaws of ancient skulls, from rare gems such as jade to common materials such as sea shells.

It was not until centuries later that significant developments in the techniques used for dental implants were made.

LECTURE 1 - Dental Implant History

Developments in Dental Implant Techniques

In the eighteenth century, some researchers began to experiment with using gold and alloys to make dental implants. However, these did not prove to be very successful.

In 1886, a doctor mounted a porcelain crown on a platinum disc, which also did not yield positive results in the long term.

The primary issue that dogged workers until this point was rejection of the foreign body dental implant. In order for the implant to be successful, the replacement tooth and the bone need to fuse together, through a process known as osseointegration.

In 1952, an orthopedic surgeon stumbled across the particular properties needed for successful fusion. Upon finding that a titanium cylinder fused together with the femur bone of a rabbit during a study on bone healing and regeneration, he hypothesized that this fusion could be utilized in other fields such as that of dental implants. The first titanium dental implant was placed in a human volunteer in 1965, by an orthopedic surgeon named Branemark.

The success of the first titanium dental implant quickly led to significant improvement in the techniques used for tooth replacement. This developed to using a titanium alloy screw, usually with a rough surface that is thought to help improve the process of osseointegration. The screw is secured to the jaw where the tooth should be and after a period of healing to allow the screw to fuse to the jawbone, a crown can be inserted over the screw.

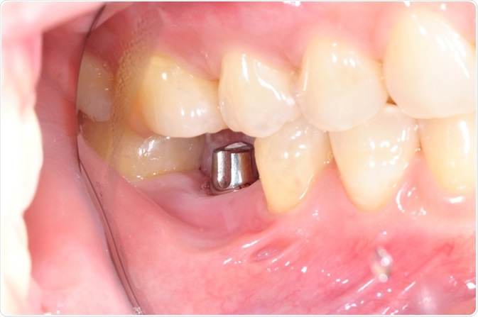
Single tooth implant. Image Credit: Greenbutterfly / Shutterstock
Single tooth implant. Image Credit: Greenbutterfly / Shutterstock

The Present and Future

At this point in time, dental implants are considered to be the most advanced solution for missing teeth with a long-term success rate of up to 97% in some dental practices.

They are the only currently available solution that can reliably support the surrounding teeth and stimulate the natural formation of bone. In doing so, they are able to restore an individual’s smile and overall confidence.

References

  1. https://www.ncbi.nlm.nih.gov/pmc/articles/PMC4040928/
  2. http://www.thedentalgeek.com/2015/03/the-history-of-dental-implants/
  3. https://www.slideshare.net/indiandentalacademy/2-newhistory-and-evolution-of-implants1-63939445

Further Reading

Last Updated: Feb 26, 2019

Yolanda Smith

Written by

Yolanda Smith

Yolanda graduated with a Bachelor of Pharmacy at the University of South Australia and has experience working in both Australia and Italy. She is passionate about how medicine, diet and lifestyle affect our health and enjoys helping people understand this. In her spare time she loves to explore the world and learn about new cultures and languages.

Citations

Please use one of the following formats to cite this article in your essay, paper or report:

  • APA

    Smith, Yolanda. (2019, February 26). History of Dental Implants. News-Medical. Retrieved on January 16, 2026 from https://intakehealthlab.com/health/History-of-Dental-Implants.aspx.

  • MLA

    Smith, Yolanda. "History of Dental Implants". News-Medical. 16 January 2026. <https://intakehealthlab.com/health/History-of-Dental-Implants.aspx>.

  • Chicago

    Smith, Yolanda. "History of Dental Implants". News-Medical. https://intakehealthlab.com/health/History-of-Dental-Implants.aspx. (accessed January 16, 2026).

  • Harvard

    Smith, Yolanda. 2019. History of Dental Implants. News-Medical, viewed 16 January 2026, https://intakehealthlab.com/health/History-of-Dental-Implants.aspx.

Comments

The opinions expressed here are the views of the writer and do not necessarily reflect the views and opinions of News Medical.
Post a new comment
Post

While we only use edited and approved content for Azthena answers, it may on occasions provide incorrect responses. Please confirm any data provided with the related suppliers or authors. We do not provide medical advice, if you search for medical information you must always consult a medical professional before acting on any information provided.

Your questions, but not your email details will be shared with OpenAI and retained for 30 days in accordance with their privacy principles.

Please do not ask questions that use sensitive or confidential information.

Read the full Terms & Conditions.