Miliaria Types

Miliaria is the term used to describe conditions associated with sweat retention in the skin. The flow of sweat is obstructed, meaning it stays trapped within the skin, rather than moving from the sweat glands to the skin’s surface. This gives rise to various symptoms and signs including skin lesions.

The condition most commonly arises as a result of exposure to warm, humid weather, although it can develop simply because a person is overdressed, overweight, hospitalized or bedridden.

There are four main types of miliaria, depending on where exactly the sweat is located in the dermis or epidermis and how the condition looks on clinical presentation. Skin lesions vary in appearance, depending on where the sweat is trapped.

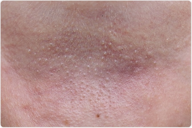
Prickly heat on the skin - Image Credit: charnsitr / Shutterstock
Prickly heat on the skin - Image Credit: charnsitr / Shutterstock

These include:

  • Miliaria crystallina
  • Miliaria rubra
  • Miliaria pustulosa
  • Miliaria profunda

Miliaria crystallina

Also referred to as sudamina, miliaria crystallina describes sweat duct obstruction in the uppermost epidermis, with sweat retained to form subcorneal vesicles. These clear, non-inflamed, fluid-filled blisters and bumps (papules) rupture easily and even light rubbing can cause them to break.

Miliaria rubra

This condition is also referred to as prickly heat and refers to the retention of sweat which moves into the middle layers of the epidermis and the upper dermis. This leads to itching and redness around the sweat pores, as a result of an inflammatory response. Other symptoms include irritated bumps and an itching or prickling sensation. The condition is particularly common among infants, but adults can also develop it, especially after repeated exposure to heat and humidity. Time spent in a cool environment usually resolves the problem after about one day.

Miliaria pustulosa

Sometimes, the vesicles in miliaria rubra take the form of inflamed pustules, as opposed to papules, in which case the condition is referred to as miliaria pustulosa.

Miliaria profunda

This refers to the formation of miliaria when sweat moves from the ducts into the dermis, which can happen when heat is intense. Hard, flesh-colored papules develop that are much larger and more deeply located than the papules seen in miliaria rubra. They also tend to be painful.

Seeking medical attention

Miliaria can usually be resolved by cooling the skin and avoiding the heat or humidity that triggered it. An air-conditioned environment is ideal. If symptoms last more than a few days or seem to be worsening, then medical attention should be sought. Affected individuals should also consult a physician if they notice any signs of infection such as:

  • Increased pain, swelling, warmth or redness in affected area
  • Pus oozing from lesions
  • Development of fever or chills
  • Swollen lymph nodes in the armpit, groin or neck

References

Further Reading

Last Updated: Dec 29, 2022

Sally Robertson

Written by

Sally Robertson

Sally first developed an interest in medical communications when she took on the role of Journal Development Editor for BioMed Central (BMC), after having graduated with a degree in biomedical science from Greenwich University.

Citations

Please use one of the following formats to cite this article in your essay, paper or report:

  • APA

    Robertson, Sally. (2022, December 29). Miliaria Types. News-Medical. Retrieved on January 17, 2026 from https://intakehealthlab.com/health/Miliaria-Types.aspx.

  • MLA

    Robertson, Sally. "Miliaria Types". News-Medical. 17 January 2026. <https://intakehealthlab.com/health/Miliaria-Types.aspx>.

  • Chicago

    Robertson, Sally. "Miliaria Types". News-Medical. https://intakehealthlab.com/health/Miliaria-Types.aspx. (accessed January 17, 2026).

  • Harvard

    Robertson, Sally. 2022. Miliaria Types. News-Medical, viewed 17 January 2026, https://intakehealthlab.com/health/Miliaria-Types.aspx.

Comments

The opinions expressed here are the views of the writer and do not necessarily reflect the views and opinions of News Medical.
Post a new comment
Post

While we only use edited and approved content for Azthena answers, it may on occasions provide incorrect responses. Please confirm any data provided with the related suppliers or authors. We do not provide medical advice, if you search for medical information you must always consult a medical professional before acting on any information provided.

Your questions, but not your email details will be shared with OpenAI and retained for 30 days in accordance with their privacy principles.

Please do not ask questions that use sensitive or confidential information.

Read the full Terms & Conditions.