What is Fundus Flavimaculatus?

Fundus Flavimaculatus is a genetic condition which is considered to represent one of two ends of the spectrum of a disease which is comprised of the presentation of retinal flecks. Research has shown that the ABCA4 and PRPH2 genes may be linked to the onset of the condition, as well as the overproduction of vitamin A.

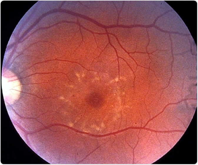
Fundus photo of patient with fundus flavimaculatus. Credit: Clinical Electrophysiology
Fundus photo of patient with fundus flavimaculatus. Credit: Clinical Electrophysiology

Fundus Flavimaculatus is a condition similar to Stargardt Disease (STGD), it is one of the most common forms of genetic macular dystrophy of childhood which is characterized by poor visual outcome, quick progression and juvenile onset. On the other end of the spectrum is fundus flavimaculatus (FFM) which is similar to Stargardt disease. However, in comparison, tends to have a slow progression rate and a later period of onset. FFM is used to describe the disease that occurs during the latter end of the second or third decade. Whereas in causes of STGD, visual acuity is negatively affected during the first two decades.

Those that have lived with the disease for over 20 years may report reduced visual acuity, whereas color vision may still be maintained, however, an unclassifiable dyschromatopsia may develop after a number of years of progression.

Genetic Aetiology

Researchers investigating potential causes of both STGD and FFM have found there to be a continuum between the two diseases as demonstrated through genetic studies. Both conditions have been linked to the ABCA4 gene and the PRPH2 gene.

Symptoms of Fundus Flavimaculatus

Retinal flecks which are yellowish-white deposits are commonly seen in those with FFM. The fleck’s appearance can vary in size but tend to be spear-like, polymorphous, fusiform, rounded, butterfly or X-shaped. The deposits can be distributed in the fundus or juxta macular. Initially, the flecks are yellow/white in color and well defined. Over time, they can become fuzzy, ill-defined and grey. During fundus examination, they may become difficult to see unless autofluorescent frames are used. In some cases, the retinal flecks will begin to fade over time in correlation to the increase in atrophy of retinal pigment in the epithelium.

In addition to this, those with FFM may develop changes to the pigment of the central area of the retina called the macula, loss of color vision, paracentral scotoma and photophobia.

How is Fundus Flavimaculatus Diagnosed?

Eye care professionals will often examine the retina to observe if there are any retinal flecks present. Other tests may be used to assess additional symptoms of vision loss including:

  1. Color testing - Fundus photography, optical coherence tomography and autofluorescence may be used in order to detect loss of color vision.
  2. Visual field testing - the patient may be required to indicate their ability to see a target or stimulus during a visual field test to measure the sensitivity and distribution of the field of vision. The process will allow the professional to map the individual’s visual field and identify whether there is a loss of peripheral or central vision.
  3. Electroretinography (ERG) - ERG can be used to measure the electric response of the rods and cones of the retina. An electrode is placed on the cornea while light is flashed into the eye. Electrical responses are then viewed and recorded. If any abnormal patterns of light response are identified, then this is indicative of FFM and Stargardt disease.

Treatment Options of Fundus Flavimaculatus

Currently, there are no treatments available to reduce the symptoms associated with fundus flavimaculatus. There is a growing body of research which is investigating the impact of gene therapy and stem cells as potential treatment options, as well as drugs that can reduce vitamin A levels.

Gene Therapy

Gene therapy has multiple applications for the treatment of a variety of diseases, including FFM and Stargardt disease. In this particular instance, gene therapy aims to replace the ABCA4 gene which has been linked to the onset of the condition with a new gene that functions effectively. The new gene would be injected into the eye, and as a result, it is hoped that the affected cells will begin to function properly and reduce the likelihood of the disease progressing further.

Stem Cells

Due to their high replication properties, stem cells are often used to replace missing or damaged cells of a range of tissues and organs within the human body. If stem cells can replicate into specialized retinal cells, then they could be used to replace some of the damaged cells seen in those with FFM.

Drug Treatment

Another treatment avenue being explored by some is the use of drugs that can reduce the levels of vitamin A that builds up as a by-product in those with FFM and Stargardt disease. Research has found that as a consequence of developing the disease, patients are unable to clear the vitamin A by-product which collects in the center of the retinal and can affect how well the cells work and ultimately affect your vision.

Fundus Flavimaculatus is a genetic ocular disease which currently does not have a set of treatment options. However, with a growing body of research, the prognosis given to those with the condition may improve if the options explored are viable.

Sources

Further Reading

Last Updated: Apr 15, 2019

Citations

Please use one of the following formats to cite this article in your essay, paper or report:

  • APA

    Bennett, Chloe. (2019, April 15). What is Fundus Flavimaculatus?. News-Medical. Retrieved on January 17, 2026 from https://intakehealthlab.com/health/What-is-Fundus-Flavimaculatus.aspx.

  • MLA

    Bennett, Chloe. "What is Fundus Flavimaculatus?". News-Medical. 17 January 2026. <https://intakehealthlab.com/health/What-is-Fundus-Flavimaculatus.aspx>.

  • Chicago

    Bennett, Chloe. "What is Fundus Flavimaculatus?". News-Medical. https://intakehealthlab.com/health/What-is-Fundus-Flavimaculatus.aspx. (accessed January 17, 2026).

  • Harvard

    Bennett, Chloe. 2019. What is Fundus Flavimaculatus?. News-Medical, viewed 17 January 2026, https://intakehealthlab.com/health/What-is-Fundus-Flavimaculatus.aspx.

Comments

The opinions expressed here are the views of the writer and do not necessarily reflect the views and opinions of News Medical.
Post a new comment
Post

While we only use edited and approved content for Azthena answers, it may on occasions provide incorrect responses. Please confirm any data provided with the related suppliers or authors. We do not provide medical advice, if you search for medical information you must always consult a medical professional before acting on any information provided.

Your questions, but not your email details will be shared with OpenAI and retained for 30 days in accordance with their privacy principles.

Please do not ask questions that use sensitive or confidential information.

Read the full Terms & Conditions.