What is Granulomatosis with Polyangiitis?

Skip to

Granulomatosis with polyangiitis (GPA), known as Wegener’s granulomatosis until 2011, is a rare and potentially serious condition that causes inflammation of the small blood vessels and capillaries. It typically affects the ears, nose, sinuses, kidneys, and lungs, and can affect anyone of any age, although it is most commonly seen in middle-aged or elderly people.

Granulomatosis with polyangiitis (GPA). Image Credit: Designua / Shutterstock
Granulomatosis with polyangiitis (GPA). Image Credit: Designua / Shutterstock

Why does GPA develop?

GPA is an autoimmune disease but its cause  is not clear at present. It is believed that a faulty immune response causes antibodies to mistakenly attack the blood vessels, leading to inflammation.

Antineutrophil cytoplasmic antibodies (ANCAs) have been found to be present in most patients with GPA. These ANCAs activate certain types of white blood cell that leads to the inflammation characteristic of the condition. The ANCAs attach to the neutrophils in the blood, promoting their attachment to the wall of the blood vessel and stimulating the release of various pro-inflammatory chemicals. The reason for the development of ANCA is not clear as of now.

Some research suggests that exposure to silica, or contracting an infection with the bacterium Staphylococcus aureus (commonly known as Staph), can lead to GPA, but these links have not been definitively proved.

It is also believed to be likely that those who develop GPA have a gene that predisposes them to the condition, but as it is uncommon for two people in the same family to have GPA, it is not thought that genes are solely responsible for its onset.

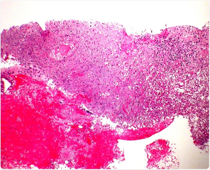
Granulomatosis with polyangiitis (GPA) - Core biopsy Case 190
Granulomatosis with polyangiitis (GPA) - Core biopsy Case 190" by Pulmonary Pathology is licensed under CC BY-SA 2.0

Symptoms of GPA

The symptoms of GPA vary, depending on which part of the body is affected. General symptoms include fatigue, a high temperature, weakness, a loss of appetite, weight loss, and pain in the joints.

Symptoms affecting specific parts of the body are listed below.

Symptoms in the ear, nose, and throat

  • Blocked or runny nose
  • Nosebleeds
  • Crusts around the nostrils
  • Sinusitis (facial pain)
  • Earache
  • Hearing loss.

Symptoms in the lungs

  • A persistent cough
  • Shortness of breath
  • Wheezing
  • Chest pain.

Renal symptoms

  • Blood in the urine
  • High blood pressure
  • Glomerulonephritis (inflammation of the kidneys).

Skin symptoms

  • Rashes
  • Lumps
  • Necrosis (death of tissue)
  • Ulcers
  • Small purple spots.

Ocular symptoms

  • Conjunctivitis
  • Bloodshot eyes
  • Swollen eyelids
  • Dry eyes
  • Loss of vision
  • Double vision.

Gut symptoms

  • Stomach pain
  • Diarrhea
  • Blood in stool

Neurologic symptoms

  • Loss of sensation
  • Weakness
  • Hotness in the hands and feet
  • Pins and needles in the hands and feet
  • “Electric shocks” in the hands and feet.

How is GPA diagnosed?

It is not easy to diagnose granulomatosis with polyangiitis due to the nonspecific nature of the symptoms, which mimic a number of more common conditions.

A specialist may be able to diagnose granulomatosis with polyangiitis from the medical history and a careful physical examination. Urine tests to check kidney function and blood tests to look for ANCAs may be ordered in most cases where the suspicion of GPA arises.

A biopsy (a small tissue sample) from the kidneys or lungs may be ordered to identify signs of inflammation if these are involved.
A number of imaging technologies are used to diagnose the condition. X-rays, CT (computerized tomography) scans or MRI (magnetic resonance imaging) scans allow specialists to examine affected parts of the body.

Granulomatosis With Polyangiitis (Wegener's) and Microscopic Polyangiitis - Mayo Clinic

How is GPA treated?

The treatment of granulomatosis with polyangiitis is organized into three stages.

Stage one

The drugs administered in stage one aim to suppress the immune system.

Patients will be given injections of certain immunosuppressive drugs every two to three weeks, or the drug can be taken as a tablet every day. Sometimes monoclonal antibody drugs will be used instead.

Daily steroid tablets or steroid injections into the blood will also be used along with the immunosuppressant treatments. However, side effects must be discussed with a health professional because these drugs are highly potent.

Some patients will need a plasma exchange in stage one. This is a procedure in which the blood is filtered to remove any harmful antibodies linked to granulomatosis with polyangiitis.

Stage two

Once a patient’s symptoms are under control, stage two of their treatment will include continuing with daily steroid medication. Less potent immunosuppressants are prescribed for the maintenance phase of treatment.

Stage two may last for between two to five years.

Stage three

If symptoms recur (which is called a relapse), the treatment plan will either be changed or restarted.

Risk Factors for GPA

GPA most commonly affects middle-aged and elderly people, but it has been observed to occur in young adults and children. There is no difference in the incidence in men or women.

What is the prognosis for GPA?

The prognosis of the condition depends on its severity, and in particular, whether extensive damage has occurred to the organs, in particular the kidneys.

About half the patients may experience relapses of the condition after the end of the first course of treatment, making a careful follow up mandatory.

Sources

Further Reading

Last Updated: Jan 13, 2023

Lois Zoppi

Written by

Lois Zoppi

Lois is a freelance copywriter based in the UK. She graduated from the University of Sussex with a BA in Media Practice, having specialized in screenwriting. She maintains a focus on anxiety disorders and depression and aims to explore other areas of mental health including dissociative disorders such as maladaptive daydreaming.

Citations

Please use one of the following formats to cite this article in your essay, paper or report:

  • APA

    Zoppi, Lois. (2023, January 13). What is Granulomatosis with Polyangiitis?. News-Medical. Retrieved on January 16, 2026 from https://intakehealthlab.com/health/What-is-Granulomatosis-with-Polyangiitis.aspx.

  • MLA

    Zoppi, Lois. "What is Granulomatosis with Polyangiitis?". News-Medical. 16 January 2026. <https://intakehealthlab.com/health/What-is-Granulomatosis-with-Polyangiitis.aspx>.

  • Chicago

    Zoppi, Lois. "What is Granulomatosis with Polyangiitis?". News-Medical. https://intakehealthlab.com/health/What-is-Granulomatosis-with-Polyangiitis.aspx. (accessed January 16, 2026).

  • Harvard

    Zoppi, Lois. 2023. What is Granulomatosis with Polyangiitis?. News-Medical, viewed 16 January 2026, https://intakehealthlab.com/health/What-is-Granulomatosis-with-Polyangiitis.aspx.

Comments

The opinions expressed here are the views of the writer and do not necessarily reflect the views and opinions of News Medical.

While we only use edited and approved content for Azthena answers, it may on occasions provide incorrect responses. Please confirm any data provided with the related suppliers or authors. We do not provide medical advice, if you search for medical information you must always consult a medical professional before acting on any information provided.

Your questions, but not your email details will be shared with OpenAI and retained for 30 days in accordance with their privacy principles.

Please do not ask questions that use sensitive or confidential information.

Read the full Terms & Conditions.