What is Large Granular Lymphocytic Leukemia (LGLL)?

Large Granular Lymphocytic Leukemia (LGLL) is a rare cancer of one type of white blood cells, with less than 1000 new cases reported in the United States each year. These white blood cells, known as lymphocytes, are fundamental for the body’s immune response.

LGLL is characterized by excessive lymphocyte proliferation (cell growth), leading to a higher than normal percentage of these cells in the blood. The altered proportions of blood cells result in symptoms such as repeated infections and anemia.

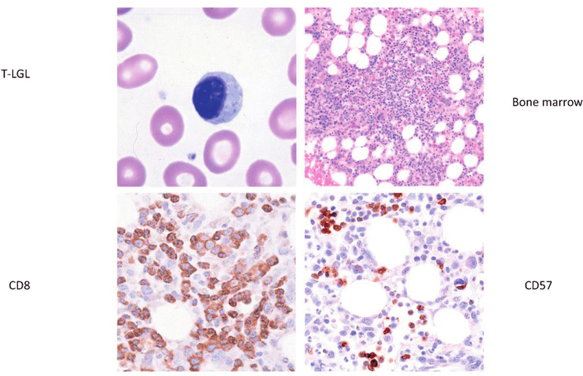
Monomorphic PTLD: T large granular lymphocytic leukemia. (A) Peripheral blood showing a large granular lymphocyte; (B) Bone marrow showing a vague lymphoid aggregate; (C) Bone marrow showing increased CD8 positive cells; (D) CD57 positive lymphocytes.

What are the different types of LGLL?

There are two different variants of the disease: T-LGLL affecting the T-cell lymphocytes, and NK-LGLL affecting the Natural Killer lymphocytes. Disease progression in T-LGLL is chronic; however, in NK-LGLL the disease may progress in a chronic or aggressive manner. Chronic T-LGLL is the most common form, representing around 85% of cases, whereas the less common aggressive NK-LGLL affects fewer than 10% of cases.

Epidemiology

T-LGLL and NK-LGLL account for 2% and 5% of lymphoproliferative disorders. Men and women are equally affected, and the average age of diagnosis is 60 years. Fewer than 25% of individuals are diagnosed below the age of 50. Risk factors for the disease include autoimmune disorders such as rheumatoid arthritis; these are reported in 20% of cases before the leukemia presents.

Large granular lymphocytic leukemia - Mayo Clinic

Diagnosis

Blood smears are routine for diagnosing LGLL; the blood is observed under a microscope to examine the lymphocyte count and observe whether there is an expanded T-cell or NK-cell population. LGLL is characterized by enlarged lymphocytes with numerous granules. A bone marrow biopsy may also be performed to confirm the diagnosis.

Symptoms

Chronic forms of LGLL present similarly; some symptoms are common across all types of the disease, whilst others are predominantly reported in the aggressive NK-LGLL variant. The following features are often seen:

  • Changes in blood cell counts
  • Neutropenia – low levels of neutrophils (another type of white blood cell important in fighting infection)
  • Anemia – low levels of red blood cells occur in around half of those with chronic conditions and in most cases of aggressive NK-LGLL
  • Recurrent infections
  • Frequent fevers
  • Night sweats
  • Unexplained weight loss
  • Spleen enlargement is present in 25-50% of chronic cases and can be severe in aggressive NK-LGLL

Treatment

Although there is no cure for LGLL, the disease responds well to treatment. Due to the slow progression of chronic LGLL, intensive treatment is not required as for other types of cancer. The proliferation of cells is very slow; therefore a ‘wait and watch’ approach is adopted until treatment is deemed necessary. Many patients will live for years before needing treatment; however, the majority will inevitably require it as the disease evolves and symptoms worsen.

When should treatment begin?

Signs that treatment should commence include severe neutropenia leading to repeated infections, and anemia severe enough to require transfusions or to produce symptoms, as well as the presence of autoimmune conditions which need to be treated.

There are several different treatment options available which include:

  • Immunosuppressive drugs, such as methotrexate or cyclosporine
  • Blood transfusions to treat anemia
  • Chemotherapy, such as cyclophosphamide
  • In severe cases, surgery is required to remove the enlarged spleen when patients have not responded to other treatments
  • Purine analogs are also a second-line therapeutic avenue
  • Stem cell transplant or bone marrow transplant are the only curative approach to diseases of the bone marrow

Aggressive T-cell and NK-LGLL, however, does not respond well to treatment. Treatment is often similar to that of acute lymphoblastic Leukemia, but average survival time is usually less than two months.

Further Reading

Last Updated: Apr 7, 2023

Stephanie Hunter

Written by

Stephanie Hunter

Stephanie obtained a first-class honors degree in Biomedical Science from the University of Sheffield in 2017. The modules she studied included: cell biology, membrane receptors, stem cells, tissue engineering, cancer, physiology, anatomy, and pharmacology. During her final year, she wrote a literature review on ‘Cell Therapy in Curing Muscular Dystrophy’, in which she analyzed different cell types with different genetic manipulations for their potential use in cell therapy.

Citations

Please use one of the following formats to cite this article in your essay, paper or report:

  • APA

    Hunter, Stephanie. (2023, April 07). What is Large Granular Lymphocytic Leukemia (LGLL)?. News-Medical. Retrieved on January 17, 2026 from https://intakehealthlab.com/health/What-is-Large-Granular-Lymphocytic-Leukemia-(LGLL).aspx.

  • MLA

    Hunter, Stephanie. "What is Large Granular Lymphocytic Leukemia (LGLL)?". News-Medical. 17 January 2026. <https://intakehealthlab.com/health/What-is-Large-Granular-Lymphocytic-Leukemia-(LGLL).aspx>.

  • Chicago

    Hunter, Stephanie. "What is Large Granular Lymphocytic Leukemia (LGLL)?". News-Medical. https://intakehealthlab.com/health/What-is-Large-Granular-Lymphocytic-Leukemia-(LGLL).aspx. (accessed January 17, 2026).

  • Harvard

    Hunter, Stephanie. 2023. What is Large Granular Lymphocytic Leukemia (LGLL)?. News-Medical, viewed 17 January 2026, https://intakehealthlab.com/health/What-is-Large-Granular-Lymphocytic-Leukemia-(LGLL).aspx.

Comments

The opinions expressed here are the views of the writer and do not necessarily reflect the views and opinions of News Medical.
Post a new comment
Post

While we only use edited and approved content for Azthena answers, it may on occasions provide incorrect responses. Please confirm any data provided with the related suppliers or authors. We do not provide medical advice, if you search for medical information you must always consult a medical professional before acting on any information provided.

Your questions, but not your email details will be shared with OpenAI and retained for 30 days in accordance with their privacy principles.

Please do not ask questions that use sensitive or confidential information.

Read the full Terms & Conditions.

You might also like...
Combination therapy offers hope for AML patients facing drug resistance