What is Malocclusion?

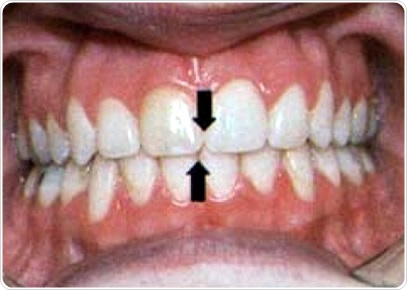
While occlusion refers to the proper alignment of teeth in the upper and lower jaws so that they fit together to create a healthy "bite," malocclusion refers to a disruption of this alignment and incorrect relation between the upper and lower teeth.

Malocclusion results in malfunction of the major components involved in chewing including the teeth, the upper jaw (maxilla), the lower jaw (mandibular) and jaw joints (temporomandibular joints). The gums, periodontal structures, and any muscles and ligaments associated with chewing may also be affected.

Determining the extent of malocclusion

To determine the level of malocclusion, two major characteristics are assessed:

  • The intra-arch relationship which refers to the way the row of teeth are aligned in the curve of either the lower or upper dental arch
  • Inter-arch relationship, otherwise called the bite or occlusion between the upper and the lower teeth

An ideal occlusion has the following features:

  • Both the arches are regular with teeth at ideal inclinations and within correct proximity to each other at dental contact points
  • The lower tooth (except the central incisor) should make contact with the corresponding upper tooth and the tooth in front of it. The upper arch slightly overlaps the lower arch
  • When the upper and lower teeth are in contact with each other, the jaw bones and joints are correctly positioned and movement is unstrained

Symptoms of malocclusion

Some amount of malocclusion may occur without causing any problems and is termed physiological malocclusion. However, malocclusion is termed pathological when it causes symptoms such as:

  • Difficulty in chewing
  • Difficulty in biting
  • Injury to gums, lips and tongue during biting, chewing or speaking
  • Disorders of the gums and teeth
  • Loose teeth
  • Pain in the joints and muscles of the jaws, especially on chewing

Causes of malocclusion

The exact cause of malocclusion is unknown but some of the associated factors are:

  • Genetic factors - malocclusion may run in some families
  • Congenital syndromes that result in e.g. small teeth or a small lower jaw
  • Environmental factors such as pressure from surrounding soft tissues or thumb sucking
  • Injury

Treatment of malocclusion

Treatment of malocclusion is attempted only when there are symptoms or if there is a desire on the part of the patient to acquire a cosmetically aligned set of teeth for psychological well being. Orthodontic treatments are usually chosen for correction of malocclusion.

Further Reading

Last Updated: Jan 24, 2023

Dr. Ananya Mandal

Written by

Dr. Ananya Mandal

Dr. Ananya Mandal is a doctor by profession, lecturer by vocation and a medical writer by passion. She specialized in Clinical Pharmacology after her bachelor's (MBBS). For her, health communication is not just writing complicated reviews for professionals but making medical knowledge understandable and available to the general public as well.

Citations

Please use one of the following formats to cite this article in your essay, paper or report:

  • APA

    Mandal, Ananya. (2023, January 24). What is Malocclusion?. News-Medical. Retrieved on January 16, 2026 from https://intakehealthlab.com/health/What-is-Malocclusion.aspx.

  • MLA

    Mandal, Ananya. "What is Malocclusion?". News-Medical. 16 January 2026. <https://intakehealthlab.com/health/What-is-Malocclusion.aspx>.

  • Chicago

    Mandal, Ananya. "What is Malocclusion?". News-Medical. https://intakehealthlab.com/health/What-is-Malocclusion.aspx. (accessed January 16, 2026).

  • Harvard

    Mandal, Ananya. 2023. What is Malocclusion?. News-Medical, viewed 16 January 2026, https://intakehealthlab.com/health/What-is-Malocclusion.aspx.

Comments

The opinions expressed here are the views of the writer and do not necessarily reflect the views and opinions of News Medical.
Post a new comment
Post

While we only use edited and approved content for Azthena answers, it may on occasions provide incorrect responses. Please confirm any data provided with the related suppliers or authors. We do not provide medical advice, if you search for medical information you must always consult a medical professional before acting on any information provided.

Your questions, but not your email details will be shared with OpenAI and retained for 30 days in accordance with their privacy principles.

Please do not ask questions that use sensitive or confidential information.

Read the full Terms & Conditions.