How Enzymes Create Body Odor

Once sweat released by the apocrine glands reaches the surface of the skin and interacts with bacteria, body odor arises. Despite the evolutionary role that body odor has played in the development of Homo sapiens, the microbiology of this innate human characteristic has not been fully understood until recently.

glandsImage Credit: Jose Luis Calvo / Shutterstock.com

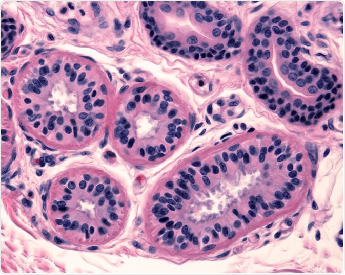
Glands of body odor

Both the apocrine and eccrine glands are considered to be the primary sweat glands found throughout the bodies of Homo sapiens. Eccrine glands, which are found in high density all over the body, open directly onto the surface of the skin and play an important role in body temperature regulation.

As the internal temperature of the body rises, such as what occurs during a fever, eccrine sweat glands will release water onto the surface of the skin. Once released, the water quickly evaporates, thereby allowing the skin and blood beneath to cool. In addition to thermoregulation, the eccrine glands also participate in the excretion of both ion and nitrogenous wastes.

Under the stimulation of sex hormones during puberty, the apocrine sweat glands will begin to function. Apocrine glands, which are found on the surface of the skin, open into the hair follicle and are typically found at specific body sites, of which include the axilla region, nipples and the external genitalia, of which includes the labia majora in women and the scrotum and prepuce in men.

Although present at a much smaller level, apocrine sweat glands can also be found within the external auditory meatus, the Moll glands within the free margins of the eyelids and the mammary glands of the breasts.

Microbiota of body odor

The specific body sites that house apocrine glands are associated with their own unique microbiota that subsequently contributes to the varying body odor that can arise at these locations. Within the axilla region, for example, Staphylococcus, Cutibacterium and Corynebacterium are the dominant genera that colonize this area; however, Gram-positive anaerobic cocci (GPAC) including the Anaerococcus and Peptoniphilus species have also been recently highlighted.

Prior to exposure to these microorganisms, the sweat produced by the apocrine glands is viscous, protein-rich and odorless. Within the axillary region, sweat released by the apocrine glands, upon interaction with the microorganisms of this region, will transform into a mixture of highly volatile organic compounds. More specifically, the primary components of human axillary malodor include volatile fatty acids (VFAs) and thioalcohols, the most pungent of which being the latter.

Thioalcohols of axillary sweat

Four different thioalcohols have been identified within axillary secretions, the most abundant of which includes 3-methyl-3-sulfanylhexan-1-ol (3M3SH). The reaction responsible for the production of 3M3SH begins with the odorless precursor Cys-Gly-3M3SH, which is an L-cysteinylglycine dipeptide-conjugated alcohol.

Following its release from apocrine glands, previous work has found that this precursor substance then enters the epithelial cells through a proton-coupled oligopeptide di-/tripeptide transportor (DtpT), which is conserved by all staphylococcal species.

Once inside the cell, the terminal glycine is cleaved by a dipeptidase (PepA) enzyme, which allows for the release of Cys-3M3SH. Cys-3M3SH is subsequently metabolized by a C-S β-lyase, thereby allowing for the release of the volatile 3M3SH.

ShPatB enzyme

The C-S cleavage of thioalcohol precursors was previously believed to be due to Corynebacterium species, with little to no contribution by the Staphylococcus species. In a recent Nature Scientific Reports study, researchers confirmed the presence of a distinct monophyletic group to be produced by several Staphylococcus species present within the axillary region, which include S. hominis, S. lugdunenis and S. haemolyticus.

This study identified three different groups of Putative Cysteine-S-conjugate β-lyase (PatB) enzymes and denoted these PatBs as G1, G2 and G3. The G1 clade, which contains S. hominis, was found to be most closely associated with body odor and responsible for the release of 3M3SH from Cys-3M3SH. This discovery is substantial, as it is the first time that a thiol-based axillary malodor pathway was characterized for the S. hominis species.

This signature enzyme, which was subsequently named by the researchers as ShPatB, was found to be both necessary and sufficient for the production of thiolalcohol-based odors of the axillary region. The structure of ShPatB, which contains a core active site that is structurally conserved across all C-S lysases, also contains a hydrophobic contact that is made up of unique residues that are not present on any other odor-producing staphylococci PatB enzymes. In conclusion, this hydrophobic pocket of ShPatB is critical for the selectivity of Cys-3M3SH and its malodor production capabilities.

Evolutionary conclusions

As compared to other primates, the composition of the human axillary region is considered to be highly unique in both its composition and microorganism diversity.

The identification of ShPatB, a unique enzyme present in bacteria of the human axillary region that specifically catalyzes the production of 3M3SH, therefore suggests that there is an evolutionary predisposed selection pressure for certain odors to be produced over others.

One interesting question that arose from the findings in this study was how S. epidermidis, which is the most abundant Staphylococcus species present within the human axilla, does not metabolize these thioalcohol precursors prior to their interaction with S. hominis.

References and Further Reading

  • Hodge, B. D., & Brodell, R. T. (2019). Anatomy, Skin Sweat Glands. In: StatPearls. Available from: https://www.ncbi.nlm.nih.gov/books/NBK482278/.
  • Rudden, M., Herman, R., Rose, M., et al. (2020). The molecular basis of thioalcohol production in human body odor. Nature Scientific Reports 10. doi:10.1038/s41598-020-68860-z.
  • Bawdon, D., Cox, D. S., Ashford, D., et al. (2015). Identification of axillary Staphylococcus sp. Involved in the production of malodorous thioalcohol 3-methyl-3-sulfanylhexan-1-ol. FEMS Microbiology Letters 362(16). doi:10.1093/femsle.fnv111.

Further Reading

Last Updated: Dec 14, 2020

Benedette Cuffari

Written by

Benedette Cuffari

After completing her Bachelor of Science in Toxicology with two minors in Spanish and Chemistry in 2016, Benedette continued her studies to complete her Master of Science in Toxicology in May of 2018. During graduate school, Benedette investigated the dermatotoxicity of mechlorethamine and bendamustine; two nitrogen mustard alkylating agents that are used in anticancer therapy.

Citations

Please use one of the following formats to cite this article in your essay, paper or report:

  • APA

    Cuffari, Benedette. (2020, December 14). How Enzymes Create Body Odor. News-Medical. Retrieved on January 17, 2026 from https://intakehealthlab.com/life-sciences/How-Enzymes-Create-Body-Odor.aspx.

  • MLA

    Cuffari, Benedette. "How Enzymes Create Body Odor". News-Medical. 17 January 2026. <https://intakehealthlab.com/life-sciences/How-Enzymes-Create-Body-Odor.aspx>.

  • Chicago

    Cuffari, Benedette. "How Enzymes Create Body Odor". News-Medical. https://intakehealthlab.com/life-sciences/How-Enzymes-Create-Body-Odor.aspx. (accessed January 17, 2026).

  • Harvard

    Cuffari, Benedette. 2020. How Enzymes Create Body Odor. News-Medical, viewed 17 January 2026, https://intakehealthlab.com/life-sciences/How-Enzymes-Create-Body-Odor.aspx.

Comments

The opinions expressed here are the views of the writer and do not necessarily reflect the views and opinions of News Medical.
Post a new comment
Post

While we only use edited and approved content for Azthena answers, it may on occasions provide incorrect responses. Please confirm any data provided with the related suppliers or authors. We do not provide medical advice, if you search for medical information you must always consult a medical professional before acting on any information provided.

Your questions, but not your email details will be shared with OpenAI and retained for 30 days in accordance with their privacy principles.

Please do not ask questions that use sensitive or confidential information.

Read the full Terms & Conditions.

You might also like...
Can honey protect your brain? Study reviews its potential against Alzheimer's