Inhaled anesthetics are fairly common all over the world for minor and extensive surgical procedures in patients of all age groups. In the olden days when anesthesia was first developed, ether was the first inhaled anesthetic. That has been replaced, with the more recent discoveries of sevoflurane, isoflurane, and desflurane.
Inhaled anesthesia serves the main purpose of preventing awareness during surgery to both surgical stimulation and from pain induced from the procedure. This is accomplished by placing a breathing tube once the patient is asleep, and requires anesthesiologists to support their breathing while the surgery is taking place. Upon the surgery being completed the breathing tube is removed and the patient is awoken after the inhalational anaesthetic is taken off.
Anesthesiologists can give a patient general anaesthesia through many ways: either through them breathing in inhalational anaesthesia or through an intravenous line. Inhalational anesthetics are breathed in, in vapor form, while intravenous anesthetics, are given directly through the vein or intravenously, both give the same effect of preventing awareness. Patients always ask whether one is better than the other. When you look at costs the reality at present is that inhalational anaesthesia is cheaper, though both may be comparable in regards to providing quality and patient centric care.
There are specific instances when intravenous anesthesia may be more preferred. These include cases of patients with severe post-operative nausea and vomiting. When determining the anesthetic plan all this is taken into consideration and tailored to each patient’s pre-operative, intra-operative, and post-operative needs.
How do inhaled anesthetics conventionally work to reduce or numb pain? Why are some of these anesthetics called volatile anesthetics?
There are a lot of theories that are still in the process of being proven with basic science and clinical evidence as to how inhalational anesthestics work. At present, the main ones are the lipid theory and protein theory that focus on specific GABA-ion channels that affect cerebral function through dampening neuronal excitability. However, there is still ongoing requirement of clinical and basic science studies needed to prove these theories.
When that gets discovered that will probably be a Nobel Prize in itself!
At this point, how inhalational anesthetics work is based entirely on clinical observations and outcomes. The first set of these seminal observations being done at Massachusetts General Hospital by William Morton in 1846 using inhalational ether to provide surgical anesthesia.
The reality is that, even though new anesthetics are being devised, the mechanisms are still being discovered. However we are still achieving anaesthesia and loss of awareness during surgery all over the world when using these drugs making them important for future studies and research.
Volatile anesthesia simply means something that is a vapor form that needs to be inhaled to give a desired clinical effect.
Anesthetics don’t treat pain, they reduce awareness of pain.
Can you give me a brief overview of bacterial lung infections and why they are so lethal?
If you trace back to the largest pandemics in human history, for example the Spanish Flu, the number of deaths was around 40 million. For flu to truly have an epidemic or pandemic potential, the lethality of the infection itself can't be so high that it doesn't allow for transmissibility. If the flu virus is too lethal than it has a harder time spreading from host to host.
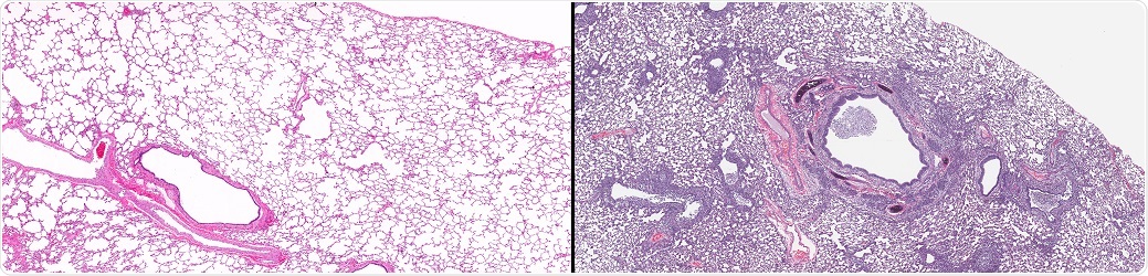
%26Lung_with_Influenza_(right)from_a_case_of_influenza_showing_microscopic_disease_pathology_of_flu-vetpathologist-1000.jpg)
Normal Lung (left) and Lung with Influenza (right). Comparative twin images of normal healthy lung in contrast to lung from a case of influenza showing microscopic disease pathology of flu. © vetpathologist / Shutterstock.com.
When scientists first started to look at what happened during the 1918-1919 pandemic, what we saw was that the major cause of death was not the flu virus but that patients died due to a secondary bacterial pneumonia. So the major question became what was the 1918 flu strain doing that caused people to become susceptible to bacterial super-infections?
So scientists began digging patient samples from the Alaskan permafrost. What they observed was that the primary flu infection caused a significant amount of lung damage in the host without killing them, which then allowed streptococcus pneumonia, the common bacterial super infection, to grow in the lung and cause systemic infection. The body becomes unable to combat this bacterial super infection, which becomes the primary cause of mortality.

Subsequently, there’s been a shift to looking at what exactly is happening to our host immunity that's causing us to be susceptible. What our immune system is doing in relation to influenza that's making us more susceptible to bacterial pneumonia has been the real focus of my research.
There are lots of studies both academic and industry that is focused on new discoveries targeting the primary viral infection, but few are focused on bacterial super infection due to a lack of understanding how flu virus puts us at increased risk of getting secondary bacterial infections.
Can you briefly describe your latest research with volatile anesthetics in mice? What do volatile anesthetics do to augment the auto-immune system?
What I'm looking to do differently is to go back historically to look at what’s happened. What’s specifically happening to our immune response that the flu is doing that's making us more susceptible to bacterial pneumonia since this is the main cause of death from flu, and not the flu virus itself. I am hoping that this research will change to direction of future flu research drug development.
In the 1980s, there was an interesting study that was looking at pediatric patients under inhalational anesthesia. This landmark study showed that pediatric patients that were undergoing fairly benign outpatient procedures under halothane anesthesia had less viral symptoms than those that were not under inhalational anesthesia. These kids who had an underlying para-influenza infection, were less sick if they received halothane anesthesia than other forms of anesthesia during the surgery in relation to viral symptoms.
When you look at the constant battle we undertake with old and new viruses and bacteria, it's fascinating that our immune responses are fairly robust throughout our evolutionary history. Meaning that, how our body responds to any novel type of viral strain is fairly universal. This response driven by type I interferon. And consequently viruses have become smart and found many ways throughout their evolving history to try and shut down this type 1 interferon response. So it’s become a constant tug of war of sorts.
You hear common phrases in the media, such as "cytokine storm." What that means is that the body has responded with a larger response than usual. The more novel the strain of flu, the more robust our initial immune response is to that infection, or a larger type 1 interferon response to flu.
However, the drawback with having this huge initial immune response is one of two things. Firstly, more extensive lung injury is caused to the host which commonly leads to death, and secondly, what we’ve observed is that when there is such a robust T-helper or interferon type I response to flu, you leave yourself susceptible to bacterial super infection or secondary pneumonia. So the body in its attempt to fight the flu virus makes itself susceptible to secondary pneumonia.
It's fairly well-charted, if you look at the time course, you're infected with flu on day zero. You start to feel muscle aches, cramping pain, fever and typical symptoms for flu infections within two to three days. The most common time point that you get bacterial pneumonia is day seven or eight. That's where the immune system revs up so heavily, that it's now having a difficult time downstream dealing with any additional infection.
So we postulated that maybe volatile anesthetics were affecting this type 1 interferon response, and that’s why pediatric patients that were being exposed to halothane were showing less signs of viral symptoms compared to those that were not exposed to halothane. In addition, it being possible that now exposure to volatile anesthetic may also reduce getting a bacterial super infection. Based on this concept we tested our hypothesis in a mouse model.
What were the results of your research?
We tested halothane, infecting animals with flu and then subsequent bacterial super infection with a streptococcus pneumonaie bacteria. We observed that if these animals were exposed to the anesthetic at the time that they were getting the flu infection, it suppressed the aggressive type I interferon response and made the animal very effective in clearing the secondary pneumonia.
That initial down tweaking of that robust, type I interferon response by halothane helped mitigate some of the animals’ ability to clear a secondary infection, including recruiting the type of cells needed for bacterial infection clearance, such as neutrophils. From a clinical standpoint the animals were a lot better, they had less hunched posture and less ruffled fur, less weight loss, and other clinical indications that they had less flu symptoms.
The next question we asked is how do you know that the anesthetic isn't affecting their ability to clear the virus as opposed to affecting the immune response?
We found that the anesthetic wasn't affecting the ability of the virus to replicate. It was purely tweaking the immune response to the virus, which was making it effectively able to combat the secondary pneumonia.
Why does blocking the receptor for type I interferon boost the auto-immune system? Could the auto-immune system be permanently boosted?
While you might say boost, it's indirectly boosting the ability to fight a secondary pneumonia by actively suppressing the immune system from having a too strong an immune response to the initial flu virus.
I think there's been an ongoing trend in pharma and industrial science to constantly focus on creating vaccines or drugs for new viral flu strains every year, which is driven by viruses constantly changing strains.
We should be focusing more on the main reasons for mortality and morbidity, and that's secondary bacterial pneumonia. If we can find ways to target host immunity and find immune modulators like anesthetics that will have a very potent effect in dealing with the influenza infection, as hosts we will be less pre-disposed to bacterial pneumonia. That's a very powerful finding. I believe it's a totally different way of thinking than just focusing on the primary viral infection.
Globally, the approach to influenza pandemic preparedness, whether from a government standpoint or large scale public health standpoint should be not just finding drugs to treat primary influenza, but investigating ways to mitigate our host immunity to be prepared for any potential serious complications, such as secondary bacterial pneumonia. Though the advent of antibiotics seems to have helped in these efforts, with growing number of bacterial strains that are resistant to our current antibiotic armamentarium, it’s important we place emphasis on this type of research to drive new drug development.
Would it be possible to produce a treatment that blocks the receptor for type I interferon to temporarily boost immunity in humans to fight minor infections?
Absolutely. The reason that this research is a hot topic is for many reasons both for its clinical implications and for infectious disease research. Typically, with surgical pediatric patients if the child or patient has had an upper respiratory viral infection, anesthesiologists cancel elective cases, primarily due to concerns of airway reactivity during time of induction of anesthesia.
Our study though done in an animal model would suggest that if we were to look purely at post-operative outcomes upon exposure to volatile anesthesia like halothane these patients may be less predisposed to bacterial pneumonia, suggesting benefits to patients being on volatile anesthestics during surgical procedures in relation to developing possible post-operative pneumonia if they had a underlying viral infection at the time of surgery.
From an infectious disease perspective, knowing how these anesthetics work may help us devise a totally new treatment modality for dealing with secondary pneumonia. This study shows that volatile anesthetics may serve as a suitable treatment modality for bacterial super infections. Though it may not serve as an ideal conduit for treatment in a clinical setting, we are actively designing and working with a pharm company to use the same mechanisms that volatile anesthetics uses to achieve the same desired therapeutic effect.
What we have created and are currently testing is an oral immune modulator that goes selectively into antigen presenting cells and prevents their secretion of mediators that drive type 1 interferon production.
This drug is now in phase II clinical trials in humans. I'm hoping this drug will show similar effects in our animal model as we have observed with volatile anesthestics. Preliminary data is showing that the drug using a similar mechanism as volatile anaesthesia results in significant reduction in secondary bacterial pneumonia post flu.
Do you think there are any risks associated with using anesthetics if they do become a treatment? Or do you think you'd be able to mitigate the potential side-effects that a conventional anesthetic has?
I think it would be hard to convince the public to use anesthetics as a treatment modality unless we address its ease of administration and account for its primary use as a mechanism to cause loss of awareness. It would require a total paradigm shift in the way it’s administered. Currently it’s only available in the operating room setting. A lot of work would need to be done to bring it to an outpatient setting. The primary function of anesthetics is still to work as a medium for conducting surgery without pain and awareness.
We're now bridging its use as an antiviral or a protection against secondary bacterial pneumonia. These will require new approaches outlining its specific use as an immune modulator and human study validation that will primarily have to be observational.
In terms of side effects, as anesthesiologists, we tailor our anesthetic plan to understanding the entire patho-physiology of the patient before we make a decision as to the appropriate anesthetic dose and type for each patient. I think based on the extensive experience we have in using anesthesia in an operating room setting, the same pharmacodynamics will have to come into play when we address its use as a treatment modality.
So I don’t think it will be difficult to mitigate potential side effects considering also that most of the experiments we did was using a dose of anesthesia that we use in the clinical setting. But certainly this will be the biggest challenge we will come across in terms of its clinical utility as a treatment modality.
Could this be a treatment be used routinely along with prescribed medications to boost the immune system in anyone who has become ill?
I feel it will be interesting to see how to some extent as the awareness of this type of research gets out, how the scientific and medical community may or may not approach the use of anesthetics directly as a treatment modality.
Certainly given the fact that these anesthetics have been used for over a century, we've gotten very sophisticated in its monitoring and its pharmacokinetic and pharmacodynamics profiles as a drug itself, so it doesn’t seem implausible for its use as a treatment modality for secondary pneumonia post influenza infection.
What are the next steps in your research?
We’re working on the interleukin 12, interleukin 23 small molecule oral immune modulator. We're completing small animal model studies, using the same CD1 mouse strain.
We're working with the United States Centers for Disease Control and Prevention on this, and we want to start looking at large animal models like ferret studies. If those studies look very promising, I think it's certainly reasonable that we would begin clinical trials in patients.
The main difficulty with using this immune modulator in patients will be to find the right dosing scheme in patients, which will be addressed in future clinical trials.
Overall, I think we are at a really exciting place in terms of influenza science. Thinking about the global idea of viruses, the beauty of our platform is it’s not just trying to target a single virus, but focusing on evolutionarily conserved host immune response. So it may be possible for our treatment to be applicable to other viruses that generate an overactive type 1 interferon response. This may be the case with Ebola. There are lots of studies suggesting that Ebola may have similar pathogenic mechanisms to influenza, with proteins that regulate type one interferon. I think that there's a lot of scope with this and we're hoping that it's going to make a huge splash in terms of the medical and scientific community.
Where can readers find more information?
About Dr Chakravarthy
Krishnan Chakravarthy is a biotechnologist, viral immunologist, and physician in the United States. He has been recognized internationally for his work in the field of nanomedicine, and infectious diseases, particularly in the area of developing new nanomedicine technologies in targeted drug delivery and next generation point of care mobile devices.
Dr. Chakravarthy completed his B.A. degree in Biology from the University of Chicago. He completed his joint MD, PhD program at the State University of New York at Buffalo School of Medicine and Biomedical Sciences. Dr. Chakravarthy also served as a contractor for the United States Centers for Disease Control and Prevention (CDC) where he researched host immunity to seasonal and pandemic influenza virus as a way of developing novel therapeutic and vaccine strategies.
As Chairman and CEO of NanoAxis, NanoAxis Orthopedics, and NanoAxis Neurosciences, Dr. Chakravarthy is developing paradigm-shifting technology in the field of infectious diseases, orthopedics, and neurosciences. He intends to guide NanoAxis to becoming a global leader in nanomedicine technologies.
Dr. Chakravarthy’s innovative contributions to the field of nanomedicine has been recognized at a national and international level with prestigious honors and awards including from the United States National Institute of Health. He continues to publish papers in leading scientific journals, is an author on numerous patents, and is a guest speaker at both national and international conferences worldwide. His work has been covered many times by highly reputed scientific media news sources including the International Business Times, Times of India, and Futurity.
Dr. Chakravarthy currently serves on the board of the Academy of Medical Ethics in Bio-Innovation, VietMD.net, Clinical Research Monitor, and is an affiliated faculty for the Johns Hopkins Institute for NanoBioTechnology (INBT).