Cellular protein signal can be manipulated to favor bone building

If harnessed in people, it could speed recovery for bone breaks, spinal fusions, osteoporosis

In experiments in rats and human cells, Johns Hopkins Medicine researchers say they have added to evidence that a cellular protein signal that drives both bone and fat formation in selected stem cells can be manipulated to favor bone building. If harnessed in humans, they say, the protein -- known as WISP-1 -- could help fractures heal faster, speed surgical recovery and possibly prevent bone loss due to aging, injury and disorders.

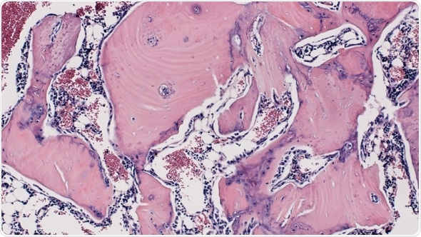
Bone formation in the rat spine. Credit: Aaron James, Johns Hopkins Medicine

A report on the experiments was published online Oct. 23 in the journal Scientific Reports.

Our bones have a limited pool of stem cells to draw from to create new bone. If we could coax these cells toward a bone cell fate and away from fat, it would be a great advancement in our ability to promote bone health and healing."

Aaron James, M.D., Ph.D., associate professor of pathology at the Johns Hopkins University School of Medicine, and the study's senior author

The regenerative group of cells, known collectively as stem cells, all have the potential to develop into a variety of cell types including those that make up living tissues, such as bones. Scientists have long sought ways to manipulate the growth and developmental path of these cells, in either a living animal or the laboratory, to repair or replace tissue lost to disease or injury.

Previous studies by others, James points out, showed that a particular type of stem cell -- perivascular stem cells -- had the ability to become either bone or fat and numerous studies since then have focused on advancing the understanding of what signaling proteins drive this developmental change.

From past studies of his own, James also knew that the protein WISP-1 plays a key role in directing the stem cells.

In his new experiments, James and his team genetically engineered stem cells collected from patients to block the production of the WISP-1 protein. Looking at gene activity in the cells without WISP-1, they found that four genes that cause fat formation were turned on 50-200 percent higher than control cells that contained normal levels of the WISP-1 protein.

The team then engineered human fat tissue stem cells to make more WISP-1 protein than normal, and found that three genes controlling bone formation became twice as active as in the control cells, and fat driving genes such as peroxisome proliferator-activated receptor gamma (PPARγ) decreased in activity in favor of "bone genes" by 42 percent.

With this information in hand, the researchers next designed an experiment to test whether the WISP-1 protein could be used to improve bone healing in rats that underwent a type of spinal fusion -- an operation frequently performed on people to alleviate pain or restore stability by connecting two of the vertebrae with a metal rod so that they grow into a single bone. An estimated 391,000 spinal fusions are performed in the U.S. each year, according to the U.S. Agency for Healthcare Research and Quality.

Such a procedure requires a massive amount of new bone cells. If we could direct bone cell creation at the site of the fusion, we could help patients recover more quickly and reduce the risk of complications."

Aaron James

In their experiments, the researchers mimicked the human surgical procedure in rats, but in addition, they injected -- between the fused spinal bones -- human stem cells with WISP-1 turned on.

After four weeks, the researchers studied the rats' spinal tissue and observed continued high levels of the WISP-1 protein. They also observed new bone forming, successfully fusing the vertebrae together, whereas the rats not treated with stem cells making WISP-1 did not show any successful bone fusion during the time the researchers were observing.

We hope our findings will advance the development of cellular therapies to promote bone formation after surgeries like this one and for other skeletal injuries and diseases, such as broken bones and osteoporosis."

Aaron James

According to the Office of the Surgeon General,

The researchers also plan to explore whether reducing the level of WISP-1 protein in stem cells could preferentially favor the development of fat cells for soft tissue wound healing as well.

Comments

The opinions expressed here are the views of the writer and do not necessarily reflect the views and opinions of News Medical.
Post a new comment
Post

Sign in to keep reading

We're committed to providing free access to quality science. By registering and providing insight into your preferences you're joining a community of over 1m science interested individuals and help us to provide you with insightful content whilst keeping our service free.

or

While we only use edited and approved content for Azthena answers, it may on occasions provide incorrect responses. Please confirm any data provided with the related suppliers or authors. We do not provide medical advice, if you search for medical information you must always consult a medical professional before acting on any information provided.

Your questions, but not your email details will be shared with OpenAI and retained for 30 days in accordance with their privacy principles.

Please do not ask questions that use sensitive or confidential information.

Read the full Terms & Conditions.

You might also like...
Study highlights potential of ferroptosis-based approaches to treat cancer