Swimming a 'no-no' for those undergoing deep brain stimulation therapy

Researchers have found that persons who have had a deep brain stimulation device implanted for treatment of Parkinson’s disease may have lost their ability to swim. The small study was titled, “Beware of deep water after subthalamic deep brain stimulation,” and was published in the latest issue of Neurology this week.

Image Credit: Image Point Fr / Shutterstock
Image Credit: Image Point Fr / Shutterstock

This small study writes about nine identified cases of individuals who underwent deep brain stimulation and thereafter lost their ability to swim. These nine individuals had been good swimmers before their treatment despite having been diagnosed with Parkinson’s disease. After their deep brain stimulation surgery, their other movements improved but the skills of swimming seemed to have deteriorated wrote the researchers.

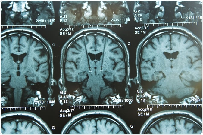
Daniel Waldvogel, MD, of the University of Zurich in Switzerland, explained about the cases saying, “Until more research is done to determine why some people with deep brain stimulation can no longer swim, it is crucial that people be told now of the potential risk of drowning and the need for a carefully supervised assessment of their swimming skills before going into deep water.” The team explained that for this surgery the doctors place electrodes deep inside certain areas of the brain and this can help control the abnormal movements of the body. A device can help stimulate these electrodes from outside by sending electric impulses wrote the researchers. The external device is implanted under the skin of the chest.

The team writes that of these nine individuals, three had improved significantly after the electrode implantation. Their movements and symptoms of Parkinsonism had markedly improved.

One of them was a 69 year old man who used to be a good swimmer who lived by a lake. After his deep brain stimulation, according to his previous habit he had jumped into the water hoping to swim. He had to be rescued by a family member before he could drown wrote the researchers. “Feeling confident after DBS because of his good motor outcomes, he literally jumped into the lake where he would have drowned if he had not been rescued by a family member,” the researchers wrote in the study.

Another was a 59 year old woman who used to be a competitive swimmer and continued swimming even after being diagnosed with Parkinson’s disease. After the implantation of the electrodes, she was unable to swim again. She sought help of a physiotherapist and learnt to swim again. But her form remained below her initial level wrote the researchers.

The third was also a 61 year old female who was a competitive swimmer. After her electrode implantation she said her posture became awkward and she could not swim anymore. As soon as they turned off the electrodes inside their brains, they could swim again report the researchers. The symptoms of Parkinson’s disease also returned as they switched off the electrodes and all three of the patients had to switch the devices on again wrote the researchers.

Study coauthor Dr. Christian Baumann, an associate professor in the department of neurology at the University Hospital of Zurich in Switzerland, in his statement said, “Neurologists and patients should be aware of this potential effect of DBS, even if it’s rare.” He added that the permanence of this effect is not yet clear. He said in his statement, “Turning off DBS improves swimming, as experienced by some patients, but other motor functions get worse so that patients always turn the DBS on again. Still, they can learn swimming again, but maybe not at the same level as before.” Baumann and his colleagues reported this study as part of their large ongoing study that looked at implantation of the electrodes in 217 patients with Parkinson’s disease.

Waldvogel said in a statement, “Swimming is a highly coordinated movement that requires complicated arm and leg coordination. Exactly how deep brain stimulation is interfering with this ability needs to be determined.”

Baumann explained why this phenomenon was happening saying, “It most probably has to do with the fact that (alteration) of synchronized action in different brain structures impairs some complex motor behaviors that have been learned in the past. Thus, imprinted, learned or orchestrated brain activity is to some extent changed.”

Other experts have said that only a small proportion of those getting deep brain stimulation are unable to swim. This study may alarm others about the effects of DBS and prevent them for opting this treatment modality that could benefit them. Waldvogel added that this was a small case series and larger studies are needed to be certain of an association between deep brain stimulation and losing the ability to swim. He said, “Even though these reports affected only a few people, we felt this potential risk was serious enough to alert others with Parkinson's disease, as well as their families and doctors.”

Journal reference:

Beware of deep water after subthalamic deep brain stimulation Daniel Waldvogel, Heide Baumann-Vogel, Lennart Stieglitz, Ruth Hänggi-Schickli, Christian R. Baumann Neurology Nov 2019, 10.1212/WNL.0000000000008664; DOI: 10.1212/WNL.0000000000008664, https://n.neurology.org/content/early/2019/11/26/WNL.0000000000008664

Dr. Ananya Mandal

Written by

Dr. Ananya Mandal

Dr. Ananya Mandal is a doctor by profession, lecturer by vocation and a medical writer by passion. She specialized in Clinical Pharmacology after her bachelor's (MBBS). For her, health communication is not just writing complicated reviews for professionals but making medical knowledge understandable and available to the general public as well.

Citations

Please use one of the following formats to cite this article in your essay, paper or report:

  • APA

    Mandal, Ananya. (2019, November 28). Swimming a 'no-no' for those undergoing deep brain stimulation therapy. News-Medical. Retrieved on January 18, 2026 from https://intakehealthlab.com/news/20191128/Swimming-a-no-no-for-those-undergoing-deep-brain-stimulation-therapy.aspx.

  • MLA

    Mandal, Ananya. "Swimming a 'no-no' for those undergoing deep brain stimulation therapy". News-Medical. 18 January 2026. <https://intakehealthlab.com/news/20191128/Swimming-a-no-no-for-those-undergoing-deep-brain-stimulation-therapy.aspx>.

  • Chicago

    Mandal, Ananya. "Swimming a 'no-no' for those undergoing deep brain stimulation therapy". News-Medical. https://intakehealthlab.com/news/20191128/Swimming-a-no-no-for-those-undergoing-deep-brain-stimulation-therapy.aspx. (accessed January 18, 2026).

  • Harvard

    Mandal, Ananya. 2019. Swimming a 'no-no' for those undergoing deep brain stimulation therapy. News-Medical, viewed 18 January 2026, https://intakehealthlab.com/news/20191128/Swimming-a-no-no-for-those-undergoing-deep-brain-stimulation-therapy.aspx.

Comments

The opinions expressed here are the views of the writer and do not necessarily reflect the views and opinions of News Medical.
Post a new comment
Post

Sign in to keep reading

We're committed to providing free access to quality science. By registering and providing insight into your preferences you're joining a community of over 1m science interested individuals and help us to provide you with insightful content whilst keeping our service free.

or

While we only use edited and approved content for Azthena answers, it may on occasions provide incorrect responses. Please confirm any data provided with the related suppliers or authors. We do not provide medical advice, if you search for medical information you must always consult a medical professional before acting on any information provided.

Your questions, but not your email details will be shared with OpenAI and retained for 30 days in accordance with their privacy principles.

Please do not ask questions that use sensitive or confidential information.

Read the full Terms & Conditions.

You might also like...
New blood biomarker tracks brain injury progression after ischemic stroke