New virtual tool to help the world diagnose COVID-19 in the lungs

A new virtual tool helps overstressed and overworked doctors sharpen their skills at making a timely diagnosis of COVID-19 pneumonia based on the characteristic lung signs on computerized tomography (CT) of the chest.

The Sydney company, which developed the app, is now offering it free to every doctor all over the world, to help arrest the spread of the disease. Painful experience shows that the ability to pick up COVID-19 as early as possible, treating patients before advanced disease sets in, and isolating such patients, is the most significant single measure to prevent the spread of the disease.

What is the advantage of early diagnosis?

Unlike the early days of the infection, when the world still didn’t know what it was up against, today it is clear that the number of patients developing COVID-19 sickness is exploding out of all proportion to the number of healthcare staff who can diagnose the illness. The best way to reduce the mortality rate is early diagnosis and isolation of cases.

The new tool fills the niche, according to the website, allowing current healthcare workers to make correct diagnoses of COVID-19 faster while training new workers to read CT scans faster. This will be a boon, especially the ability to interpret CT scans – “required as the number of patients escalates rapidly especially in the developing world.”

CovED – hope for the future

Earlier studies have shown that CT scans of the lungs could help cut down the period to diagnose COVID-19 cases significantly.

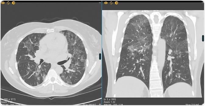
Free virtual clinical environment that helps clinicians to become better at recognising the early CT signs of COVID-19. Image Credit: DetectEd
Free virtual clinical environment that helps clinicians to become better at recognising the early CT signs of COVID-19. Image Credit: DetectEd

The company calls its online platform CovED – meant to help diagnose COVID-19 using CT chest images. CovED is a collaboration of international experts. It is described as a “powerful educational solution which contains modules that will take between 1-2 hours to complete.” It is able to offer certification and CME (continuing medical education) points from the US Accreditation Council for CME.

Earlier, the company called DetecED-X created the BREAST platform of 2010, a breast cancer screening tool, as well as the 2019 HRCT (high-resolution CT)-based solution to diagnose dust lung disease. They are offering the tool free of charge to all clinical workers.

Initially, the plan was to make CovED available to all clinicians over Australia, and the University of Sydney was in talks with the federal ministry in Australia to achieve this. However, now the tool is planned to be offered to as many doctors all over the world as possible.

Lung signs of COVID-19

Describing the tool, program co-creator Stuart Grieve says that COVID-19 shows up in CT scans of the lungs in three ways, mainly. The first thing the doctor must do is ask for a history of risk. If this is positive, the earliest CT finding of infection is the “ground-glass opacity,” where the lung looks like the view from a frosted window rather than the transparent black of the normal lung.

The second sign is termed “crazy paving” and denotes a more advanced form of the disease – patches of the lung turn white, with no obvious pattern to them. And the third is a sign of severe lung disease, with consolidation of the lung – the lung is filled with mucus and looks white because there is no air within the lung in that field.

Implications

According to medical radiation scientist Patrick Brennan who is chief executive DetectED, “It’s a tool which makes clinicians, healthcare professionals anywhere in the world able to recognize and identify the disease much more effectively than they could previously. We think it will save thousands and thousands of lives.”

At present, the interpretation of lung CT scans is left to lung radiologists – and there simply aren’t enough of them to rely on in the present crisis. The current platform aims to train thousands of healthcare providers to read lung scans, and the learning will persist even after and if COVID-19 passes into history.

Says Professor Grieve, “We’re getting to the point now where everyone's on the front line, and we don't have the amount of people to do all the tasks, people have to chip in and do everything.” A huge second advantage is that these doctors can also pick up CT lung signs of other lung diseases or conditions, which could make COVID-19 more complicated. This could allow clinicians to “start people on the road to ICU admission and treat them with something that we know is effective.” The outcome could be the slowdown of the pandemic.

Sources:
Dr. Liji Thomas

Written by

Dr. Liji Thomas

Dr. Liji Thomas is an OB-GYN, who graduated from the Government Medical College, University of Calicut, Kerala, in 2001. Liji practiced as a full-time consultant in obstetrics/gynecology in a private hospital for a few years following her graduation. She has counseled hundreds of patients facing issues from pregnancy-related problems and infertility, and has been in charge of over 2,000 deliveries, striving always to achieve a normal delivery rather than operative.

Citations

Please use one of the following formats to cite this article in your essay, paper or report:

  • APA

    Thomas, Liji. (2023, June 20). New virtual tool to help the world diagnose COVID-19 in the lungs. News-Medical. Retrieved on January 20, 2026 from https://intakehealthlab.com/news/20200331/New-virtual-tool-to-help-the-world-diagnose-COVID-19-in-the-lungs.aspx.

  • MLA

    Thomas, Liji. "New virtual tool to help the world diagnose COVID-19 in the lungs". News-Medical. 20 January 2026. <https://intakehealthlab.com/news/20200331/New-virtual-tool-to-help-the-world-diagnose-COVID-19-in-the-lungs.aspx>.

  • Chicago

    Thomas, Liji. "New virtual tool to help the world diagnose COVID-19 in the lungs". News-Medical. https://intakehealthlab.com/news/20200331/New-virtual-tool-to-help-the-world-diagnose-COVID-19-in-the-lungs.aspx. (accessed January 20, 2026).

  • Harvard

    Thomas, Liji. 2023. New virtual tool to help the world diagnose COVID-19 in the lungs. News-Medical, viewed 20 January 2026, https://intakehealthlab.com/news/20200331/New-virtual-tool-to-help-the-world-diagnose-COVID-19-in-the-lungs.aspx.

Comments

The opinions expressed here are the views of the writer and do not necessarily reflect the views and opinions of News Medical.
Post a new comment
Post

Sign in to keep reading

We're committed to providing free access to quality science. By registering and providing insight into your preferences you're joining a community of over 1m science interested individuals and help us to provide you with insightful content whilst keeping our service free.

or

While we only use edited and approved content for Azthena answers, it may on occasions provide incorrect responses. Please confirm any data provided with the related suppliers or authors. We do not provide medical advice, if you search for medical information you must always consult a medical professional before acting on any information provided.

Your questions, but not your email details will be shared with OpenAI and retained for 30 days in accordance with their privacy principles.

Please do not ask questions that use sensitive or confidential information.

Read the full Terms & Conditions.

You might also like...
Gut microbe emerges as a promising tool in the fight against COVID-19