New method for digital tissue diagnostics can streamline diagnosis and improve accuracy

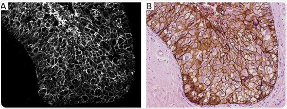
The Swedish MedTech company Lumito is at its final stages of developing a new and unique method for digital tissue diagnostics that streamlines diagnosis and improves accuracy. The product consists of two parts: a scanner that analyzes tissue samples that have been stained with the company's patented technology, where tissue is stained with nanoparticle-based reagents and a reagent kit consisting of staining fluid. The images show a detailed image with high contrast.

New method for digital tissue diagnostics can streamline diagnosis and improve accuracy
In image A, the breast tissue has been stained with Her2-UCNP reagent, in order to visualize cells containing Her2, which is a common marker in breast cancer diagnostic. Image B shows staining in the same tissue sample as in image A, but performed with the standard DAB-based method. Images A and B show a comparable level of detail, but both background signal and autofluorescence are eliminated in Lumito’s UCNP-based staining. Eliminating all noise from background signal and autofluorescence improves the conditions for automated analysis based on for example AI algorithms significantly.

 

We want to solve two problems in tissue diagnostics. The first problem that our technology solves is the quality of the analysis and the diagnosis, where the accuracy currently can be as low as 75 percent. Today’s stainings have low contrast and it is difficult to find the cancer markers in the tissue. It is the same as looking for a needle in a haystack. Our technology only shows signals from the requested markers. We remove the haystack so that only the needle is visible. We also want to automate the diagnostic work with our new product for tissue diagnostics. Another advantage with our product is the ability to perform multiple staining on the same sample. Staining with nanoparticle-based reagents and H&E provides the opportunity to retrieve more information from each sample."

Stefan Nilsson, CEO, Lumito

Lumito expects to complete the first product during the first six months of 2020. The company will then establish partnerships with reference clinics and investigate potential partners in Europe.

Currently, Lumito is in the forefront with our technology. Our images with high contrast and no background will make it much easier to develop automated diagnostics based on for instance AI."

Stefan Nilsson

Source:

Comments

The opinions expressed here are the views of the writer and do not necessarily reflect the views and opinions of News Medical.
Post a new comment
Post

Sign in to keep reading

We're committed to providing free access to quality science. By registering and providing insight into your preferences you're joining a community of over 1m science interested individuals and help us to provide you with insightful content whilst keeping our service free.

or

While we only use edited and approved content for Azthena answers, it may on occasions provide incorrect responses. Please confirm any data provided with the related suppliers or authors. We do not provide medical advice, if you search for medical information you must always consult a medical professional before acting on any information provided.

Your questions, but not your email details will be shared with OpenAI and retained for 30 days in accordance with their privacy principles.

Please do not ask questions that use sensitive or confidential information.

Read the full Terms & Conditions.

You might also like...
Revolutionizing lipid nanoparticle formulations for targeted treatments