Strong causative link between smoking and bleeding in the brain

A new study out of Finland shows that those who smoke are at a greater risk of developing bleeding within their brains called subarachnoid hemorrhage (SAH). SAH is a form of stroke that can be life-threatening. The study titled "Smoking Causes Fatal Subarachnoid Hemorrhage A Case-Control Study of Finnish Twins" is published in the journal Stroke, a journal of the American Stroke Association.

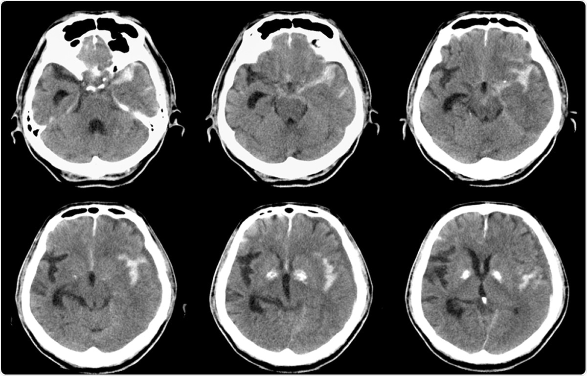
Computed tomography (CT) of brain : Left SAH (Subarachnoid hemorrhage). Image Credit: MossStudio / Shutterstock
Computed tomography (CT) of brain : Left SAH (Subarachnoid hemorrhage). Image Credit: MossStudio / Shutterstock

What has been done before?

A decade ago, in a Nordic Twin Cohort study involving 79,664 twins from Denmark, Finland, and Sweden, researchers looked at risk factors of SAH other than genes. Since twins share their genetic makeup, the study could analyze other environmental factors that could influence the risk of SAH. This study had shown that non-genetic factors mainly determine SAH. However, this study did not reveal the extent to which environmental factors could influence the risk of SAH in individuals.

What was this study about?

Since the Nordic Twin Cohort study showed a non-genetic influence on SAH risk, this was an attempt to look at the risk factor smoking and its influence on SAH risk. The authors wrote, "If true, such finding would suggest that smoking causes SAH." This was a study on 32564 twin siblings to check why only one of the siblings experience fatal SAH. They hypothesized smoking could be one of the critical risk factors for SAH.

What was done?

For this study, the team included 16,282 same-sex Finnish twin pairs. There were a total of a total 32,564 individuals. They belonged to the older Finnish Twin Cohort between 1976 and 2018 and were closely followed. The team searched the records to check all participants who died from SAH. From all the data on health and habits of the participants, the team gathered information on smoking habits, alcohol use (daily consumption categorized per 10 g of alcohol), and regular physical activity, presence of high blood pressure, body mass index, and level of education (years of schooling). The smoker status was defined as "never, occasional, former, and current." The smoking status was finally classified as smokers (occasional and current) and non-smokers (never and former). Those that were current smokers were further classified according to the number of cigarettes per day.

The twins were classified as monozygotic (identical) or dizygotic (non-identical) twins or those of unknown zygosity. They checked all the siblings who had died of SAH with the other twin who had not died. They assessed the hazard ratio of the individuals from the entire participant group and also assessed pairwise when one of the pair had died of SAH. When one of the siblings died, it was called a discordant pair. Concordant twin pairs were those where both twin siblings had died due to SAH.

What was found?

The study involved a total of 869,469 person-years of follow-up. From this, a total of 116 discordant and 2 concordant twin pairs were identified. A total of 25 of the discordant twin pairs were monozygotic or identical twins.

Results revealed that smoking (occasional/current) status was associated with increased risk of SAH and death due to SAH compared to non-smokers (never/former). The Hazard ratio was 3.33 [CI, 2.24–4.95]. The team wrote, "Both heavy (HR, 3.01 [CI, 1.58–5.73]) and moderate smokers (HR, 3.98 [CI, 2.44–6.49]) had a slightly higher risk than light smokers (HR, 2.83 [CI, 1.64–4.9])."

Among the discordant twins, the twin who smoked had a raised risk of death due to SAH compared with the nonsmoking twin. The hazard ratio was 6.33 [CI, 1.87–21.4]. The team writes, "The association remained consistent regardless of the twin pairs' zygosity or sex."

There was also a raised risk of deaths due to SAH among those who consumed over 21g of alcohol per day (HR, 3.17 [0.43–23.3]).

Conclusions and implications

The team says that this study provides strong evidence that there may be a "causal" relationship between smoking and deaths due to SAH.

The corresponding author of the study Ilari Rautalin, a Ph.D. student at the University of Helsinki in Finland, said in a statement, "Our study provides further evidence about the link between smoking and bleeding in the brain."

Rose Marie Robertson, the American Heart Association's deputy chief science and medical officer and co-director of the AHA Tobacco Center for Regulatory Science, said in her statement, "This long-term study in twins helps to confirm the link between subarachnoid hemorrhage and smoking. Not smoking or quitting if you've already started, is an essential component of primary prevention." She was not involved in this study.

Journal reference:
Dr. Ananya Mandal

Written by

Dr. Ananya Mandal

Dr. Ananya Mandal is a doctor by profession, lecturer by vocation and a medical writer by passion. She specialized in Clinical Pharmacology after her bachelor's (MBBS). For her, health communication is not just writing complicated reviews for professionals but making medical knowledge understandable and available to the general public as well.

Citations

Please use one of the following formats to cite this article in your essay, paper or report:

  • APA

    Mandal, Ananya. (2020, September 17). Strong causative link between smoking and bleeding in the brain. News-Medical. Retrieved on January 17, 2026 from https://intakehealthlab.com/news/20200917/Strong-causative-link-between-smoking-and-bleeding-in-the-brain.aspx.

  • MLA

    Mandal, Ananya. "Strong causative link between smoking and bleeding in the brain". News-Medical. 17 January 2026. <https://intakehealthlab.com/news/20200917/Strong-causative-link-between-smoking-and-bleeding-in-the-brain.aspx>.

  • Chicago

    Mandal, Ananya. "Strong causative link between smoking and bleeding in the brain". News-Medical. https://intakehealthlab.com/news/20200917/Strong-causative-link-between-smoking-and-bleeding-in-the-brain.aspx. (accessed January 17, 2026).

  • Harvard

    Mandal, Ananya. 2020. Strong causative link between smoking and bleeding in the brain. News-Medical, viewed 17 January 2026, https://intakehealthlab.com/news/20200917/Strong-causative-link-between-smoking-and-bleeding-in-the-brain.aspx.

Comments

The opinions expressed here are the views of the writer and do not necessarily reflect the views and opinions of News Medical.
Post a new comment
Post

Sign in to keep reading

We're committed to providing free access to quality science. By registering and providing insight into your preferences you're joining a community of over 1m science interested individuals and help us to provide you with insightful content whilst keeping our service free.

or

While we only use edited and approved content for Azthena answers, it may on occasions provide incorrect responses. Please confirm any data provided with the related suppliers or authors. We do not provide medical advice, if you search for medical information you must always consult a medical professional before acting on any information provided.

Your questions, but not your email details will be shared with OpenAI and retained for 30 days in accordance with their privacy principles.

Please do not ask questions that use sensitive or confidential information.

Read the full Terms & Conditions.

You might also like...
Single-cell analysis reveals gene disruptions in early-onset Alzheimer's brain regions