Cats and dogs are low risk for SARS-CoV-2 transmission to humans

Researchers from the College of Veterinary Medicine and Biomedical Sciences, Colorado State University studied the possible transmission of the severe acute respiratory syndrome coronavirus 2 (SARS-CoV-2) among domestic cats and dogs. Their study titled, “Experimental infection of domestic dogs and cats with SARS-CoV-2: Pathogenesis, transmission, and response to reexposure in cats,” is published in the journal Proceedings of the National Academy of Sciences of the United States (PNAS).

Study background

COVID-19, caused by the SARS-CoV-2 virus, has infected over 35 million people around the world and killed over a million individuals. The risk of transmission of the highly infectious virus among animals, especially domestic cats, and dogs has not been clearly studied.

Origin and reverse zoonosis

There have been studies and speculation that point to the fact that the virus is most likely to have come from an animal. It was initially thought to have come from bats, and humans were thought to be intermediate hosts at the Huanan seafood market in Wuhan, China, where the disease originated. Transmission of a virus or infective organism from animals to humans is called zoonosis.

The researchers explained that the SARS-CoV-2 might have originated in animals but soon was rapidly being transmitted from human to human. This spread occurred with direct contact and aerosol droplets. The virus infects host cells after binding to the angiotensin-converting enzyme 2 (ACE2) receptor, they wrote.

Reverse zoonosis occurs when an infection transmitted initially from animals to humans, comes back to infect animals. The team writes that the first case of reverse zoonosis was seen in Hong Kong, where a dog whose owner was diagnosed with COVID-19, tested positive for SARS-CoV-2 multiple times via polymerase chain reaction (PCR). Following this, several pets tested positive for the virus when exposed to humans with the infection.

The team, however, says, “Serologic studies so far have failed to identify domestic dogs and cats as a primary source of human infection.” No antibodies could be identified among pets of COVID-19 patients in a serological survey. They explained, “Despite the low probability of pet-to-human or human-to-pet transmission, it remains important to clarify what role if any, that domestic pets play in SARS-CoV-2 transmission.”

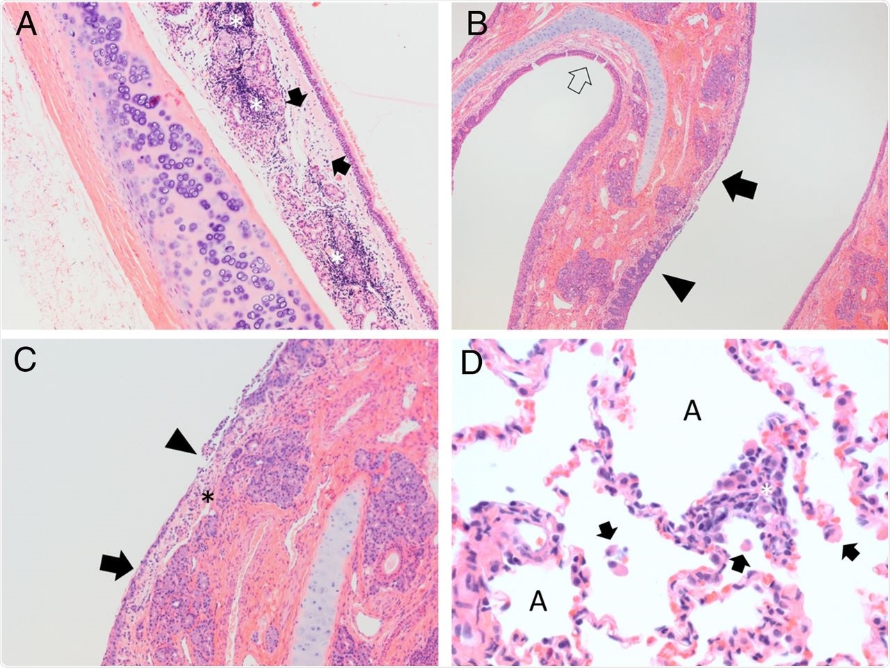
SARS-CoV-2 exposure results in acute upper respiratory inflammation and mild lung infiltrates during later courses of infection. (A) Cat 4, cohort 2, trachea 5 DPI. The submucosa is expanded by edema (arrows) and abundant lymphocytic inflammatory infiltrates (asterisks) which dissect and disrupt submucosal glands. H&E stain, 100× magnification. (B) Cat 5, cohort 2, nasal turbinates, 5 DPI. Normal thickness respiratory mucosa is present in the section (open arrow). Nasal respiratory epithelium ranges from hyperplastic (filled black arrow) to ulcerated (arrowhead). The submucosa in regions of ulceration is edematous and infiltrated by scattered neutrophils and mononuclear cells. H&E stain, 40× magnification. (C) Cat 5, cohort 2, nasal turbinates, 5 DPI. Nasal respiratory epithelium ranges from attenuated (arrow) to ulcerated (arrowhead) with overlying remnant cellular debris. The submucosa (asterisk) in regions of ulceration is edematous and infiltrated by scattered neutrophils and mononuclear cells. H&E stain, 100× magnification. (D) Cat 1, cohort 1, lung, 42 DPI. Alveolar spaces (“A”) contain scattered mononuclear cells (arrows). The alveolar wall is expanded by mixtures of mononuclear cells and occasional neutrophils (asterisk). H&E stain, 400× magnification.
SARS-CoV-2 exposure results in acute upper respiratory inflammation and mild lung infiltrates during later courses of infection. (A) Cat 4, cohort 2, trachea 5 DPI. The submucosa is expanded by edema (arrows) and abundant lymphocytic inflammatory infiltrates (asterisks) which dissect and disrupt submucosal glands. H&E stain, 100× magnification. (B) Cat 5, cohort 2, nasal turbinates, 5 DPI. Normal thickness respiratory mucosa is present in the section (open arrow). Nasal respiratory epithelium ranges from hyperplastic (filled black arrow) to ulcerated (arrowhead). The submucosa in regions of ulceration is edematous and infiltrated by scattered neutrophils and mononuclear cells. H&E stain, 40× magnification. (C) Cat 5, cohort 2, nasal turbinates, 5 DPI. Nasal respiratory epithelium ranges from attenuated (arrow) to ulcerated (arrowhead) with overlying remnant cellular debris. The submucosa (asterisk) in regions of ulceration is edematous and infiltrated by scattered neutrophils and mononuclear cells. H&E stain, 100× magnification. (D) Cat 1, cohort 1, lung, 42 DPI. Alveolar spaces (“A”) contain scattered mononuclear cells (arrows). The alveolar wall is expanded by mixtures of mononuclear cells and occasional neutrophils (asterisk). H&E stain, 400× magnification.

Study design

For this study, the team used SARS-CoV-2 virus strain WA1/2020WY96 that had been passed through Vero E6 cells twice and adequately processed for experimental use. They included one male, six female 5 to 8-year-old cats that had been tested to be negative for feline enteric coronavirus antibody. They also included three female dogs aged 5 to 6 years.

The animals were housed in the lab facility, and their baseline body weight, body temperatures, clinical parameters and oral swabs were obtained. After having anesthetized four cats, they were inoculated with the SARS-CoV-2 diluted in phosphate-buffered saline (PBS) in their nares. The dogs also received the viral inoculates.

On days 1, 2, 3, 4, 5, 7, and 10 after the viral inoculation, oropharyngeal swabs were collected from the animals. On Day 28, the cats were reinoculated with homologous virus samples, and again oronasal samples were collected on days 1, 3, 5, 7, 10, and 14 days following the reinoculation. The two cats that had not been thus treated were exposed to the four cats 48 hours after. At the end of the study, the cats were euthanized, and their tissue samples were collected for analysis. Tissues studied were their nasal tissues, olfactory apparatus, trachea or windpipes, esophagus, lymph nodes in their chest, lungs, liver, spleen, kidneys, uterus, heart, colon, pancreas, and small intestines.

Results of the study and its implications

This is the first study that shows experimental COVID-19 infection in cats and dogs. This study shows that cats could become infected by SARS-CoV-2 and transmit the infection to other cats via aerosols. The study showed that the two cats exposed to the primarily inoculated cats were not only infected with the virus but also showed samples of the virus in their feces. The infected cats did not show a severe form of the disease and were mostly asymptomatic or mildly symptomatic, wrote the researchers.

This study also shows that cats could be a suitable animal model for studying SARS-CoV-2 infection and could help in the development of vaccines and treatment against COVID-19 in both animals and humans. This study also confirms that dogs do not replicate viruses in their upper respiratory tracts, but they develop antibodies to the virus.

Angela Bosco-Lauth, the lead author of the study, said, “People should not worry about getting Covid-19 from their cats; rather, cats should worry about getting it from their people... We have no evidence to date that cat-to-human transmission has occurred, and we believe that cats pose a very low health risk to humans.”

Low risk of transmission via cats

The team wrote in conclusion, “The role of cats in zoonotic transmission remains an open question, but the relatively short duration of shedding and resistance to reinfection suggests the risk of this is very low.” They suggest that the risk is further lowered if the cats are kept indoors and have limited contact with other infected animals and humans. They wrote, “There is currently no evidence that cats or dogs play a significant role in human infection; however, reverse zoonosis is possible if infected owners expose their domestic pets to the virus during acute infection.”

Journal reference:
  • Experimental infection of domestic dogs and cats with SARS-CoV-2: Pathogenesis, transmission, and response to reexposure in cats Angela M. Bosco-Lauth, Airn E. Hartwig, Stephanie M. Porter, Paul W. Gordy, Mary Nehring, Alex D. Byas, Sue VandeWoude, Izabela K. Ragan, Rachel M. Maison, Richard A. Bowen Proceedings of the National Academy of Sciences Sep 2020, 202013102; DOI: 10.1073/pnas.2013102117, https://www.pnas.org/content/early/2020/09/28/2013102117
Dr. Ananya Mandal

Written by

Dr. Ananya Mandal

Dr. Ananya Mandal is a doctor by profession, lecturer by vocation and a medical writer by passion. She specialized in Clinical Pharmacology after her bachelor's (MBBS). For her, health communication is not just writing complicated reviews for professionals but making medical knowledge understandable and available to the general public as well.

Citations

Please use one of the following formats to cite this article in your essay, paper or report:

  • APA

    Mandal, Ananya. (2020, October 05). Cats and dogs are low risk for SARS-CoV-2 transmission to humans. News-Medical. Retrieved on January 17, 2026 from https://intakehealthlab.com/news/20201005/Cats-and-dogs-are-low-risk-for-SARS-CoV-2-transmission-to-humans.aspx.

  • MLA

    Mandal, Ananya. "Cats and dogs are low risk for SARS-CoV-2 transmission to humans". News-Medical. 17 January 2026. <https://intakehealthlab.com/news/20201005/Cats-and-dogs-are-low-risk-for-SARS-CoV-2-transmission-to-humans.aspx>.

  • Chicago

    Mandal, Ananya. "Cats and dogs are low risk for SARS-CoV-2 transmission to humans". News-Medical. https://intakehealthlab.com/news/20201005/Cats-and-dogs-are-low-risk-for-SARS-CoV-2-transmission-to-humans.aspx. (accessed January 17, 2026).

  • Harvard

    Mandal, Ananya. 2020. Cats and dogs are low risk for SARS-CoV-2 transmission to humans. News-Medical, viewed 17 January 2026, https://intakehealthlab.com/news/20201005/Cats-and-dogs-are-low-risk-for-SARS-CoV-2-transmission-to-humans.aspx.

Comments

The opinions expressed here are the views of the writer and do not necessarily reflect the views and opinions of News Medical.
Post a new comment
Post

Sign in to keep reading

We're committed to providing free access to quality science. By registering and providing insight into your preferences you're joining a community of over 1m science interested individuals and help us to provide you with insightful content whilst keeping our service free.

or

While we only use edited and approved content for Azthena answers, it may on occasions provide incorrect responses. Please confirm any data provided with the related suppliers or authors. We do not provide medical advice, if you search for medical information you must always consult a medical professional before acting on any information provided.

Your questions, but not your email details will be shared with OpenAI and retained for 30 days in accordance with their privacy principles.

Please do not ask questions that use sensitive or confidential information.

Read the full Terms & Conditions.

You might also like...
Steady decline in antibiotics for childhood respiratory infections