Anxiety may help to progress Alzheimer’s disease

The results of a new study presented at the annual meeting of the Radiological Society of North America (RSNA) reveal the link between increased levels of anxiety and an elevated rate of progression to Alzheimer's disease from symptoms of mild cognitive impairment.

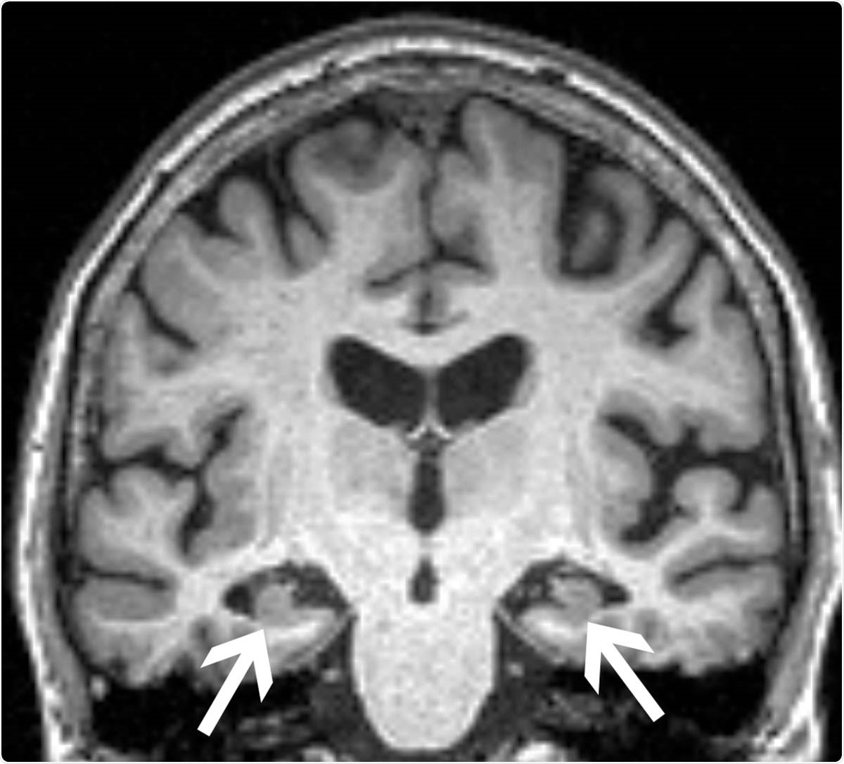
Brain MRI of a 72-year-old woman shows loss of volume of the hippocampus (arrows). The patient had all three characteristics, volume loss of the hippocampi, APOE4, and anxiety, found in the study to be associated with progression from mild cognitive impairment to dementia.

Image Credit: Radiological Society of North America

Investigating the role of anxiety in the speed of cognitive decline

According to the World Health Organization (WHO), around 50 million people globally suffer from dementia, with almost 10 million new cases arising each year. Statistics show that Alzheimer's disease is the most common form of dementia, accounting for as many as 60–70% of cases. The disease is considered to be a major public health crisis across the globe. With deaths from the disease increasing by two-fold since 2000, new approaches to reducing the detrimental impact of Alzheimer's disease are needed to protect the aging population.

Often, the first stage of Alzheimer's disease is a decline in cognitive function. While cognitive decline is common in the aging population and is not necessarily linked with disease, the speed of decline is accelerated in those with Alzheimer's disease. Additionally, anxiety has also been noted as commonly presenting itself alongside mild cognitive impairment. However, the relationship between the two has not been well-researched.

Researchers at the Medical University of South Carolina (MUSC) designed a study to shed some light on the connection between cognitive decline and anxiety. Maria Vittoria Spampinato, the study’s senior author, explains that "In this study, we wanted to see if anxiety had an effect on brain structure, or if the effect of anxiety was independent from brain structure in favoring the progression of disease.”

Anxiety may speed up cognitive impairment in Alzheimer's disease

A total of 339 patients were recruited in the study. Patients had an average age of 72 years and had a baseline diagnosis of mild cognitive impairment. During the study, a total of 72 patients went on to become diagnosed with Alzheimer's disease.

MRIs of the patients’ brains were analyzed to establish the baseline volumes of two key areas implicated in memory formation, the hippocampus, and the entorhinal cortex. The researchers also determined whether patients had the ApoE4 allele, known to be the most prevalent genetic risk factor for Alzheimer's disease. Additionally, the researchers used clinical surveys to measure anxiety.

The results showed that patients who went on to obtain a diagnosis of Alzheimer's disease were those who had significantly lower hippocampal volumes at the onset of the study. They also had reduced volumes of the entorhinal cortex and were more likely to have the ApoE4 allele. These findings were expected.

The study’s results also revealed that anxiety was independently related to cognitive decline. Those with mild cognitive impairment patients developed Alzheimer's disease at faster rates if they also had symptoms of anxiety, in comparison to those who did not. This effect was observed regardless of if the patient had the genetic risk factor or not.

Anxiety as a cause or effect of cognitive decline?

The study’s researchers were able to highlight a link between symptoms of anxiety and the rate of progression of Alzheimer's disease. These findings, therefore, may be critical to developing new therapeutic approaches to disease prevention in those who have already begun showing signs of cognitive decline.

Spampinato states highlights that first, more research is needed to understand the relationship.

If we were able in the future to find that anxiety is actually causing progression, then we should more aggressively screen for anxiety disorders in the elderly.”

Next, the researchers will focus on investigating whether anxiety is a cause or effect of cognitive decline. They will also explore the impact of gender differences on the relationship between anxiety and cognitive decline.

Source:
Sarah Moore

Written by

Sarah Moore

After studying Psychology and then Neuroscience, Sarah quickly found her enjoyment for researching and writing research papers; turning to a passion to connect ideas with people through writing.

Citations

Please use one of the following formats to cite this article in your essay, paper or report:

  • APA

    Moore, Sarah. (2020, November 23). Anxiety may help to progress Alzheimer’s disease. News-Medical. Retrieved on January 17, 2026 from https://intakehealthlab.com/news/20201123/Anxiety-may-help-to-progress-Alzheimere28099s-disease.aspx.

  • MLA

    Moore, Sarah. "Anxiety may help to progress Alzheimer’s disease". News-Medical. 17 January 2026. <https://intakehealthlab.com/news/20201123/Anxiety-may-help-to-progress-Alzheimere28099s-disease.aspx>.

  • Chicago

    Moore, Sarah. "Anxiety may help to progress Alzheimer’s disease". News-Medical. https://intakehealthlab.com/news/20201123/Anxiety-may-help-to-progress-Alzheimere28099s-disease.aspx. (accessed January 17, 2026).

  • Harvard

    Moore, Sarah. 2020. Anxiety may help to progress Alzheimer’s disease. News-Medical, viewed 17 January 2026, https://intakehealthlab.com/news/20201123/Anxiety-may-help-to-progress-Alzheimere28099s-disease.aspx.

Comments

The opinions expressed here are the views of the writer and do not necessarily reflect the views and opinions of News Medical.
Post a new comment
Post

Sign in to keep reading

We're committed to providing free access to quality science. By registering and providing insight into your preferences you're joining a community of over 1m science interested individuals and help us to provide you with insightful content whilst keeping our service free.

or

While we only use edited and approved content for Azthena answers, it may on occasions provide incorrect responses. Please confirm any data provided with the related suppliers or authors. We do not provide medical advice, if you search for medical information you must always consult a medical professional before acting on any information provided.

Your questions, but not your email details will be shared with OpenAI and retained for 30 days in accordance with their privacy principles.

Please do not ask questions that use sensitive or confidential information.

Read the full Terms & Conditions.

You might also like...
Study finds reduced cortical choline levels in people with anxiety disorders