Study explores individual differences of SARS-CoV-2 infection in ACE2-expressing stem cells

The clinical phenotype of coronavirus disease 2019 (COVID-19), caused by the severe acute respiratory syndrome coronavirus 2 (SARS-CoV-2), is remarkable for its wide range of severity among individual patients. Genetic variations are known to mediate part of these differences.

To examine these differences, researchers in a new study used human induced pluripotent stem cells (iPSCs) from different genetically diverse individuals. These cells are used to model genetic disease since they contain the donor’s genetic information.

This news article was a review of a preliminary scientific report that had not undergone peer-review at the time of publication. Since its initial publication, the scientific report has now been peer reviewed and accepted for publication in a Scientific Journal. Links to the preliminary and peer-reviewed reports are available in the Sources section at the bottom of this article. View Sources

The study, published as a preprint on the bioRxiv* server, uses a panel of iPSCs from over 500 individuals. The researchers preferred undifferentiated iPSCs to reduce the time required to differentiate them, especially since infection is not always reliable.

Establishing SARS-CoV-2 infection in iPSCs

Human iPSCs are not infected by SARS-CoV-2 since they express the viral entry receptor, the angiotensin-converting enzyme 2 (ACE2) at low levels. These cells do have high levels of the coronavirus receptor CD147 and of the serine protease TMPRSS2.

In order to render them susceptible to SARS-CoV-2 infection, the iPSCs were engineered with the relevant genes, inserted by adenovirus vectors (Ad), with almost 100% efficiency.  These genes encoded human ACE2 and TMPRSS2 at over-expressing levels, leading to massive infection by the virus. TMPRSS2 overexpression alone was inadequate to produce this effect.

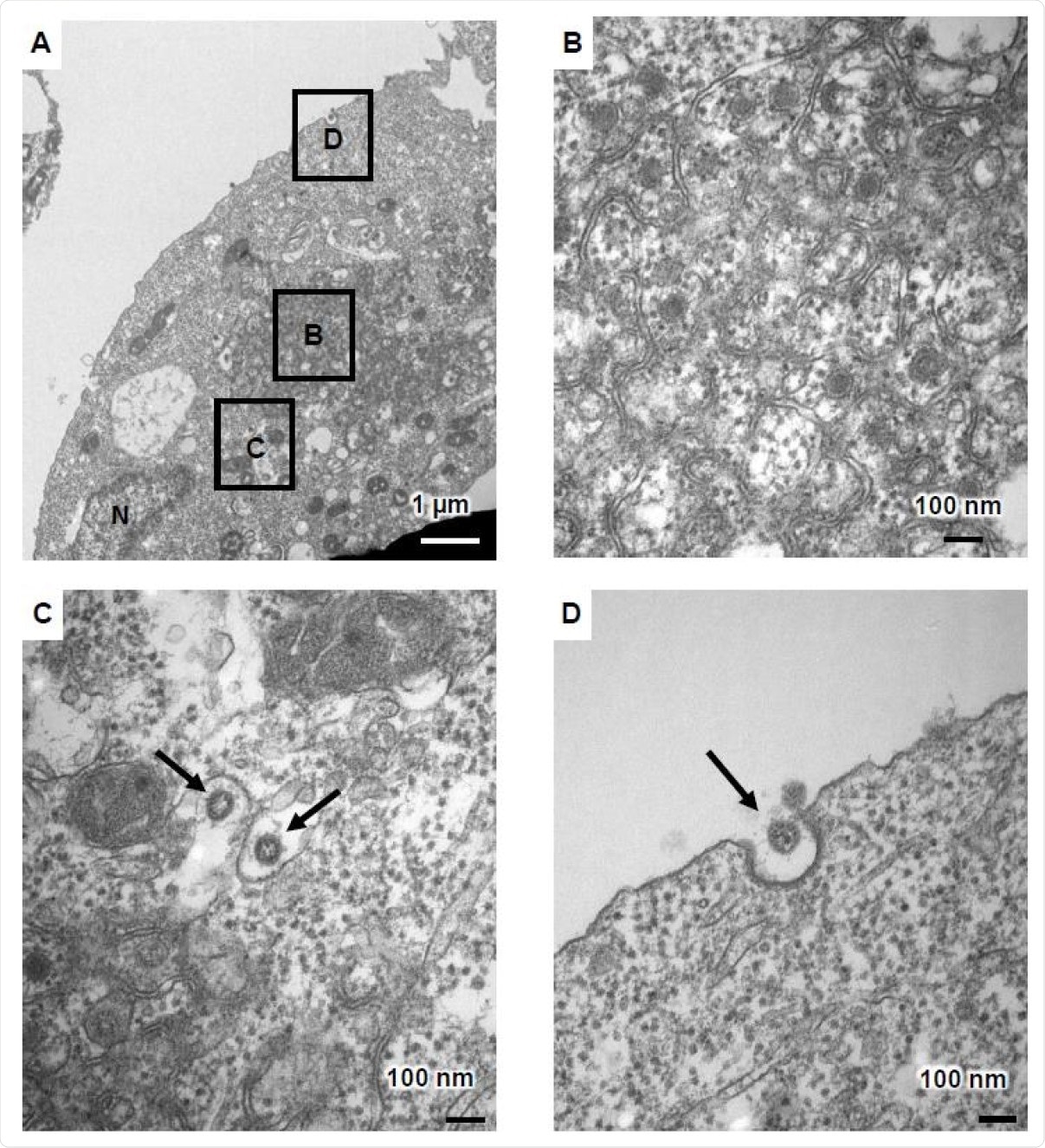
Two days post-infection of the ACE2-positive iPSCs, cell fusion was observed, with cell death after four days, in many cases. Under transmission electron microscopy (TEM), the infected cells showed characteristic changes, including zippered endoplasmic reticulum (ER), double-membrane spherules (DMS), and viral particles near the cell membrane.

Viral particles were seen within the endoplasmic reticulum-Golgi intermediate compartment (ERGIC), along with double-membrane vesicles (DMVs. The latter is central to the synthesis of viral RNA and is absent from uninfected cells.

Thus, TEM is a useful tool to examine the lifecycle of this virus.

TEM images of infected ACE2-iPS cells (A) TEM images of infected ACE2-iPS cells. Zippered endoplasmic reticulum, double-membrane spherule (DMS) (B), and virus particles in the ERGIC (black arrows) (C) and near the cell membrane (black arrows) (D) were observed.
TEM images of infected ACE2-iPS cells (A) TEM images of infected ACE2-iPS cells. Zippered endoplasmic reticulum, double-membrane spherule (DMS) (B), and virus particles in the ERGIC (black arrows) (C) and near the cell membrane (black arrows) (D) were observed.

Undifferentiated state persists following infection

Gene and protein expression was assessed on day 3 post-infection in both infected and uninfected cells. This showed that infected cells had high levels of the viral genome and of ACE2, but not of undifferentiated cell markers or of innate immunity markers. The viral nucleocapsid (N) protein was also strongly expressed in the infected cells on day 2 post-infection.

RNA-seq analysis of these cells showed that in about 7% of all genes, there was a four-fold or more change in the level of expression, and none of these encoded markers of undifferentiation or innate immune markers.

Endoderm markers, except for the CER1 gene and for CD147, NRP1, and TMPRSS2 genes, known to be SARS-CoV-2-related markers, also remained unchanged. Mesoderm and ectoderm markers were also unchanged.

These results suggest that human iPS cells maintain an undifferentiated state even when SARS-CoV-2 replicates in large numbers.”

Candidate drug evaluation

In comparison to Vero cells, iPSCs proved to show stronger drug effects on SARS-CoV-2 infection, except for interferon-beta. Of the eight drugs tested, remdesivir showed maximum antiviral activity, and ivermectin showed high cytotoxicity.

Chloroquine and Favipiravir failed to suppress viral replication. The RNA-dependent RNA Polymerase (RdRp) inhibitors (Remdesivir and EIDD-2801) and TMPRSS2 inhibitors (Camostat and Nafamostat) were proved to have antiviral activity in these cells, indicating their value in drug evaluation

Individual differences

The researchers then infected iPSCs from eight different donors to explore differences in infection due to purely individual factors. The virus was replicated with varying efficiency among the eight donor cell lines, despite the comparable expression of ACE2 in all of them.

The virus showed greater replication capacity in male-origin cells than females, indicating the potential for sex-mediated differences in susceptibility to be replicated in these cells. Both the androgen receptor and its target TMPRSS2 gene, of which the latter is expressed at slightly higher levels in male iPSCs, may be implicated in this difference.

What are the implications?

The viral lifecycle can be studied in these human iPSCs if the ACE2 receptor is overexpressed. The study showed the operation of sex-specific differences in the efficiency of infection and of viral replication. The inhibitory effects of drugs were also observable in this cell model.

These results suggest that by using our iPS cell panel, it will be possible to investigate the effects of race and blood type as well as gender on SARS-CoV-2 infection.”

Furthermore, the identification of genetic mutations occurring at high frequency in cells that sustain infection is made possible by the use of iPSCs from a panel with documented genomic information.

While the infection efficiency varies among different donors, the fact that none of these donors had COVID-19 limits the inference that they had varying susceptibility to the disease. The study is being taken forward by using iPSCs from patients with mild and severe COVID-19, allowing findings in infected cells to be compared with the clinical presentation of the patient.

While mutations in certain innate immune genes may be associated with symptom severity, further research is required to understand how these genes function during COVID-19. This can be conveniently done in iPSCs, which allow the easy introduction of single nucleotide mutations.

It is noteworthy that the role of ACE2 overexpression has not been ruled out in the individual differences in SARS-CoV-2 infection within iPSCs from different donors. If so, another system employing ACE2-expressing somatic cells must be used to first assess the effect of the expression and mutation of ACE2 and other related genes.

Causes of individual differences, other than genetic, are not addressed by this system, including those due to advancing age and associated reductions in CD8 T cell cytotoxicity. Studies on blood specimens may help establish the cause of such variations in susceptibility and viral replication. The ACE2-positive iPSCs remain a useful platform to examine and decide on the cause of individual variations, identify high-risk groups and evaluate new drugs.

This news article was a review of a preliminary scientific report that had not undergone peer-review at the time of publication. Since its initial publication, the scientific report has now been peer reviewed and accepted for publication in a Scientific Journal. Links to the preliminary and peer-reviewed reports are available in the Sources section at the bottom of this article. View Sources

Journal references:

Article Revisions

  • Apr 5 2023 - The preprint preliminary research paper that this article was based upon was accepted for publication in a peer-reviewed Scientific Journal. This article was edited accordingly to include a link to the final peer-reviewed paper, now shown in the sources section.
Dr. Liji Thomas

Written by

Dr. Liji Thomas

Dr. Liji Thomas is an OB-GYN, who graduated from the Government Medical College, University of Calicut, Kerala, in 2001. Liji practiced as a full-time consultant in obstetrics/gynecology in a private hospital for a few years following her graduation. She has counseled hundreds of patients facing issues from pregnancy-related problems and infertility, and has been in charge of over 2,000 deliveries, striving always to achieve a normal delivery rather than operative.

Citations

Please use one of the following formats to cite this article in your essay, paper or report:

  • APA

    Thomas, Liji. (2023, April 05). Study explores individual differences of SARS-CoV-2 infection in ACE2-expressing stem cells. News-Medical. Retrieved on January 19, 2026 from https://intakehealthlab.com/news/20210225/Study-explores-individual-differences-of-SARS-CoV-2-infection-in-ACE2-expressing-stem-cells.aspx.

  • MLA

    Thomas, Liji. "Study explores individual differences of SARS-CoV-2 infection in ACE2-expressing stem cells". News-Medical. 19 January 2026. <https://intakehealthlab.com/news/20210225/Study-explores-individual-differences-of-SARS-CoV-2-infection-in-ACE2-expressing-stem-cells.aspx>.

  • Chicago

    Thomas, Liji. "Study explores individual differences of SARS-CoV-2 infection in ACE2-expressing stem cells". News-Medical. https://intakehealthlab.com/news/20210225/Study-explores-individual-differences-of-SARS-CoV-2-infection-in-ACE2-expressing-stem-cells.aspx. (accessed January 19, 2026).

  • Harvard

    Thomas, Liji. 2023. Study explores individual differences of SARS-CoV-2 infection in ACE2-expressing stem cells. News-Medical, viewed 19 January 2026, https://intakehealthlab.com/news/20210225/Study-explores-individual-differences-of-SARS-CoV-2-infection-in-ACE2-expressing-stem-cells.aspx.

Comments

The opinions expressed here are the views of the writer and do not necessarily reflect the views and opinions of News Medical.
Post a new comment
Post

Sign in to keep reading

We're committed to providing free access to quality science. By registering and providing insight into your preferences you're joining a community of over 1m science interested individuals and help us to provide you with insightful content whilst keeping our service free.

or

While we only use edited and approved content for Azthena answers, it may on occasions provide incorrect responses. Please confirm any data provided with the related suppliers or authors. We do not provide medical advice, if you search for medical information you must always consult a medical professional before acting on any information provided.

Your questions, but not your email details will be shared with OpenAI and retained for 30 days in accordance with their privacy principles.

Please do not ask questions that use sensitive or confidential information.

Read the full Terms & Conditions.

You might also like...
SARS-CoV-2 evolves after jumping from humans to zoo animals