Using neuroimaging to investigate how petting dogs could help clinicians improve animal-assisted therapy

Thought LeadersRahel MartiResearcher in animal-assisted interventionsUniversity of BaselIn this interview, News Medical speaks to Rahel Marti, Ph.D. student in the faculty of Psychology at the University of Basel, about her new research, which shows that the act of petting dogs engages the social brain, leading the way for new potentialities in animal-assisted clinical therapy.

Please can you introduce yourself and tell us about your background in clinical psychology and animal-assisted intervention, as well as what inspired you to conduct your latest research?

I am a researcher in the area of animal-assisted interventions. I started my Ph.D. three years ago. At the University of Basel, I did my masters in clinical psychology and neuroscience. Currently, I am also training as a psychotherapist in person-centered therapy. I have the great opportunity to work with children in an animal-assisted setting at a local farm.

During my bachelor's degree, I came across the field of animal-assisted interventions. I did an internship as part of the research team of Karin Hediger. I was very impressed by the effects animals can have on patients with acquired brain injuries. After my master's degree, Professor Hediger asked me if I could take over this project, so here I am now.

Image Credit: SeventyFour/ShutterstockImage Credit: SeventyFour/Shutterstock

Interaction with animals, particularly dogs, can help people show more social behaviors. How do you believe a better understanding of this associated brain activity could help both clinicians and patients?

I am investigating animal-assisted therapy for patients with acquired brain injury and severe disorders of consciousness. In this area, exploring what stimuli are relevant to patients is crucial. We assume that animals are emotionally relevant to many people. Thus, they may contribute to greater awareness and motivation in therapy. In this way, we can study the underlying processes of therapy success. Other studies from our team have also shown that patients with acquired brain injury show more social behavior during animal-assisted therapy sessions compared to conventional therapy sessions. Such findings can be important also for other populations and need to be further investigated.

Can you tell us about how you conducted your research, as well as what you used for the control? What findings did your study produce?

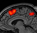
Our study measured frontal brain activity in the prefrontal cortex of healthy adults when they had contact with a dog compared with when they had contact with a plush animal. We measured brain activity with near-infrared spectroscopy. Participants had contact with the dog three times as well as three times with the plush animal. Next, they watched the animal (both the live and plush animal), felt it passively, then petted it actively. So, the interaction became closer, the stimulation rose, and more different senses were involved. We found that frontal brain activity increased when contact with the dog or a plush animal became closer. Our result confirms previous studies linking closer contact with animals or control stimuli with increased brain activation.

Image Credit: Rahel Marti & The University of BaselImage Credit: Rahel Marti & The University of Basel

Further, the participants had higher brain activity when interacting with a dog than when interacting with a plush animal. This result is in line with previous studies. They showed higher brain activation while interacting with a live animal (dog, rabbit, guinea pig, cat, horse) compared to several control conditions.

Interacting with animals is emotionally relevant for a lot of people. We thus assume that the higher brain activity mirror higher emotional involvement when the participants interacted with the dog compared to the plush animal. We also assume that higher emotional involvement might lead to more attention toward the dog than the plush animal. Studies already showed that animals can increase attention in patients. Another result of higher emotional involvement or of touching a live dog can be increased physiological arousal. The last theory is that the participants had more thoughts about the situation with the dog than when with the plush animal, for example, because they were wondering about the dog's feelings and cognitions.

In sum, we think emotional involvement might be a central underlying mechanism of brain activation in human-animal interactions.

What were the key differences identified between petting a real dog versus the control, Leo the stuffed lion, and what do you believe these differences may indicate?

The frontal brain activity was higher when the participants stroked the dog than when they stroked the plush toy. This was the result that we expected. In the explorative analysis, we discovered that brain activation increased from the first time petting the dog to the second time. With the plush animal, the activation decreased from the first to the second contact. We found this result surprising. Our explanation is that the participant established a bond with the dog. This bond probably contributed to the participants being more emotionally involved and interested in the dog, whereas no such bond was established with the plush animal.

Image Credit: WilleeCole Photography/ShutterstockImage Credit: WilleeCole Photography/Shutterstock

How do you believe these findings could have real-life implications for animal-assisted clinical therapy?

Our results might be relevant for therapy with patients with deficits in motivation, attention, and socio-emotional functioning. Our study implies that interacting with a dog might activate more attentional processes and evoke stronger emotional arousal than similar non-living stimuli. In particular, close and active physical contact with a familiar dog might promote social attention. High involvement is a crucial factor for learning, as has been shown in several studies. For example, it has been shown that emotional relevance is central.

If patients with deficits in motivation, attention, and socioemotional functioning show higher emotional involvement in activities connected to a dog, then such activities could increase the chance of learning and of achieving therapeutic aims.

World Mental Health Day is celebrated annually on October 10th. How does animal-assisted therapy contribute to effective mental health treatment?

As a researcher, I am not an expert in mental health, but there is an increasing number of studies pointing toward the promising effects of animal-assisted therapy for mental health treatment.

From a clinical point of view, as a psychotherapist, I can see in my therapies that animals can help children talk about their feelings and challenging issues. For example, when I ask them how they would solve a problem, they have no answer. But when I ask what the animal could do to solve the same problem, they can give the animal advice. The animal-assisted approach might make treatments not more effective; rather, I estimate that animals can help people be motivated for therapy, and it helps us to reach patients that might not be reached with other approaches.

What is next for you and your research?

Currently, I am writing a manuscript for a similar study but with a group of patients in a minimally conscious state. These patients also had contact with a dog and the plush animal Leo. Additionally, we are investigating the effect of the presence of an animal during therapy. Patients receive three weeks of animal-assisted therapy and three weeks of treatment as usual in randomized order.

Where can readers find more information?

More about the Faculty of Clinical Psychology and Animal-Assisted Interventions: https://psychologie.unibas.ch/de/fakultaet/abteilungen/clinical-psychology-and-animal-assisted-interventions/

About Rahel Marti

Rahel Marti has been completing her Ph.D. at the University of Basel, Switzerland, since 2019, and since 2020, she has been working as a psychologist at the Center of Psychotherapy, Faculty of Psychology, University of Basel. Since 2018, Rahel has been the author of the newsletter for the Swiss Institute for Interdisciplinary Research of the Human-Animal Relationship (IEMT Schweiz). In 2020, she obtained her Master of Advanced Studies in Person-centered Psychotherapy. Prior to this, she gained her Master of Science in Clinical Psychology and Neuroscience at the University of Basel, Switzerland, in 2019. Before this, in 2018, she completed an internship at the Psychiatry of Lucern, Division for Rehabilitation, St. Urban. In 2016, Rahel completed an internship in research of animal-assisted interventions at the REHAB Basel and Swiss TPH Dep. of Epidemiology and Public Health, Basel.

Aimee Molineux

Written by

Aimee Molineux

Aimee graduated from Oxford University with an undergraduate degree in Japanese and Korean Studies, with an exchange year at Kobe University in Hyogo, Japan. Throughout her studies, Aimee took part in various internships, gaining an interest in marketing and editorial work along the way. In her personal time, Aimee can be found either attempting to cook, learning how to code, or doing pilates.

Citations

Please use one of the following formats to cite this article in your essay, paper or report:

  • APA

    Molineux, Aimee. (2022, October 11). Using neuroimaging to investigate how petting dogs could help clinicians improve animal-assisted therapy. News-Medical. Retrieved on January 16, 2026 from https://intakehealthlab.com/news/20221011/Using-neuroimaging-to-investigate-how-petting-dogs-could-help-clinicians-improve-animal-assisted-therapy.aspx.

  • MLA

    Molineux, Aimee. "Using neuroimaging to investigate how petting dogs could help clinicians improve animal-assisted therapy". News-Medical. 16 January 2026. <https://intakehealthlab.com/news/20221011/Using-neuroimaging-to-investigate-how-petting-dogs-could-help-clinicians-improve-animal-assisted-therapy.aspx>.

  • Chicago

    Molineux, Aimee. "Using neuroimaging to investigate how petting dogs could help clinicians improve animal-assisted therapy". News-Medical. https://intakehealthlab.com/news/20221011/Using-neuroimaging-to-investigate-how-petting-dogs-could-help-clinicians-improve-animal-assisted-therapy.aspx. (accessed January 16, 2026).

  • Harvard

    Molineux, Aimee. 2022. Using neuroimaging to investigate how petting dogs could help clinicians improve animal-assisted therapy. News-Medical, viewed 16 January 2026, https://intakehealthlab.com/news/20221011/Using-neuroimaging-to-investigate-how-petting-dogs-could-help-clinicians-improve-animal-assisted-therapy.aspx.

Comments

The opinions expressed here are the views of the writer and do not necessarily reflect the views and opinions of News Medical.
Post a new comment
Post

Sign in to keep reading

We're committed to providing free access to quality science. By registering and providing insight into your preferences you're joining a community of over 1m science interested individuals and help us to provide you with insightful content whilst keeping our service free.

or

While we only use edited and approved content for Azthena answers, it may on occasions provide incorrect responses. Please confirm any data provided with the related suppliers or authors. We do not provide medical advice, if you search for medical information you must always consult a medical professional before acting on any information provided.

Your questions, but not your email details will be shared with OpenAI and retained for 30 days in accordance with their privacy principles.

Please do not ask questions that use sensitive or confidential information.

Read the full Terms & Conditions.

You might also like...
AI method sharply improves noise removal in brain imaging