Oral cancer game-changer: Researchers develop 'normalized nerve density' metric for tumor assessment

Researchers at the University of Michigan Rogel Cancer Center and the School of Dentistry identified a new metric to articulate the relationship between nerve density and oral cancer. The study, published in Clinical Cancer Research, a journal of the American Association for Cancer Research, investigated normalized nerve density to translate previous mechanistic studies into a context that could be used in the clinic.

"We are recognizing more and more that there's a very dynamic interaction between nerves and cancer cells in the tumor microenvironment," said Nisha D'Silva, B.D.S., M.S.D, Ph.D., Donald Kerr Endowed Collegiate Professor of Oral Pathology and senior author.

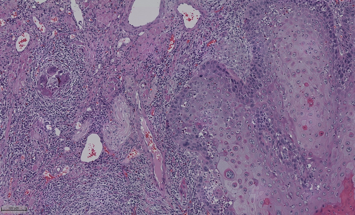
The team created a standardized metric for nerve density to clarify the variation in distribution of nerves in the oral cavity, called normalized nerve density, and showed its importance in tumor progression. Image Credit: Cindy Perez-Pacheco

The team created a standardized metric for nerve density to clarify the variation in the distribution of nerves in the oral cavity, called normalized nerve density, and showed its importance in tumor progression. Image Credit: Cindy Perez-Pacheco

The team looked at how the density of nerves within a tumor tied with the tumor's growth. The oral cavity has several regions, each with different functions. The way each area receives nerves is distinct; the nerves on the inside of the cheek have a different role and are fewer than nerves on the tongue. Given these variations, looking at the nerve density of the tumor without considering the normal innervation of the different areas in the oral cavity and each individual's variation to assess whether a tumor is aggressive leaves an inaccurate picture.

To account for this, the team created a standardized metric for nerve density to clarify the variation in the distribution of nerves in the oral cavity, called normalized nerve density and showed its importance in tumor progression. Most of the work was done with human tissue, and the team then validated the findings using a mouse model.

They used adjacent tissue to compare and determine a "normalized" density for different regions in the oral cavity. "We showed that tumors with high normalized nerve density seem to be associated with poor survival for patients with tongue cancer, which is the most common type of oral cancer," D'Silva explained. "We also found that patients with high normalized nerve density and a smaller distance between the nerve and the tumor have poorer outcomes."

Additionally, the team explored the use of artificial intelligence to measure normalized nerve density, which could facilitate the use of this metric in clinical practice.

A challenge with treating oral cavity cancer is their tendency to recur. "The question becomes, how can you look for factors that could contribute to progression? How can you use nerve features to figure out which cancers will behave more aggressively?" D'Silva explained.

She says if researchers can figure out which cancers will behave more aggressively from the outset, then they could treat the tumors more aggressively from the beginning. Normalized nerve density provides researchers with another data point to determine the best course of treatment.

Source:
Journal reference:

Comments

The opinions expressed here are the views of the writer and do not necessarily reflect the views and opinions of News Medical.
Post a new comment
Post

Sign in to keep reading

We're committed to providing free access to quality science. By registering and providing insight into your preferences you're joining a community of over 1m science interested individuals and help us to provide you with insightful content whilst keeping our service free.

or

While we only use edited and approved content for Azthena answers, it may on occasions provide incorrect responses. Please confirm any data provided with the related suppliers or authors. We do not provide medical advice, if you search for medical information you must always consult a medical professional before acting on any information provided.

Your questions, but not your email details will be shared with OpenAI and retained for 30 days in accordance with their privacy principles.

Please do not ask questions that use sensitive or confidential information.

Read the full Terms & Conditions.

You might also like...
Vagus nerve may hold the key to a younger and healthier heart