Magnetic nanoparticle (mNP) hyperthermia in breast cancer treatment

In a presentation exploring the promise of magnetic nanoparticle (mNP) hyperthermia in breast cancer treatment, Dartmouth researcher P. Jack Hoopes, DMV, PhD, reviewed preclinical studies conducted at Norris Cotton Cancer Center and discuss plans for early-phase clinical studies in humans at the annual meeting of the American Association for Cancer Research (AACR).

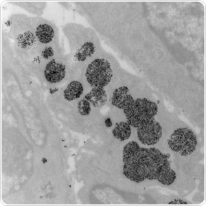
Shown here at 9900x magnification, tumor cells readily take up magnetic nanoparticles (black objects). When a tumor containing nanoparticles is exposed to an alternating magnetic field, the nanoparticles will heat and kill the tumor cells.

This evolving treatment approach involves the injection of nanoparticles into the tumor, which are then activated with magnetic energy. Once activated the nanoparticles produce heat inside the cancer cell. The heat kills the cancer cell with minimal damage to surrounding tissue.

P. Jack Hoopes, DVM, PhD, co-director of Norris Cotton Cancer Center's Nanotechnology Working Group, has led efforts in creating platforms, approaches, and equipment to test mNP in the laboratory and in the exam room at the Dartmouth Center of Nanotechnology Excellence.

Hoopes presented the enhanced uptake of breast cancer antibody tagged mNPs in xenograph breast tumors (human tumors grown in mice) following systemic delivery (intravenous). The antibodies resulted in a 2.5 fold increase in tumor mNPs. The antibodies used were similar to the commercially available breast cancer antibody Herceptin (trastuzumab). Researchers used only the cell binding (fab) fragment of the antibody. This antibody-fab fragment was produced in the Thayer School of Engineering at Dartmouth laboratory of protein engineers Tillman Gerngross and Karl Griswold.

"Although we initially used the mNP therapy in an intra-tumoral delivery manner, and it has been effective, our goal and much of our current research is systemic mNP administration aimed at invasive and metastatic cancer," said Hoopes. "This is where the antibodies come in and the highly specific MRI based NP imaging we are conducting at the Center for Magnetic Resonance Research, University of Minnesota with Professor Michael Garwood."

Hoopes' presentation reviewed biodistribution studies in mice, nanoparticle heating characterization in vitro and in vivo, efficacy studies in mouse tumor models and spontaneous canine oropharyngeal tumors, studies combining nanoparticle hyperthermia with ionizing radiation and chemotherapy and MRI-based nanoparticle imaging. He also addressed Dartmouth's preparation for clinical trials, including navigating the Institutional Review Board (IRB) and the Food and Drug Administration (FDA) and the services provided by the FDA/NIH's Nanoparticle Characterization Laboratory.

Hoopes presentation presentation occurred Sunday, April 6, 2014, from 2:15 pm - 2:35 pm at the San Diego Convention Center during the AACR annual meeting.

Comments

The opinions expressed here are the views of the writer and do not necessarily reflect the views and opinions of News Medical.
Post a new comment
Post

Sign in to keep reading

We're committed to providing free access to quality science. By registering and providing insight into your preferences you're joining a community of over 1m science interested individuals and help us to provide you with insightful content whilst keeping our service free.

or

While we only use edited and approved content for Azthena answers, it may on occasions provide incorrect responses. Please confirm any data provided with the related suppliers or authors. We do not provide medical advice, if you search for medical information you must always consult a medical professional before acting on any information provided.

Your questions, but not your email details will be shared with OpenAI and retained for 30 days in accordance with their privacy principles.

Please do not ask questions that use sensitive or confidential information.

Read the full Terms & Conditions.

You might also like...
Lifetime alcohol consumption associated with higher risk of colorectal cancer