“Tic-Tac-Toe” tackles Alzheimer’s disease

Drawing on multiple scientific disciplines, a new team is gearing up for a fresh onslaught on Alzheimer’s disease (AD), the extremely common age-related condition associated with loss of memory and disability. With a grant of $3.7 million from the National Institutes of Health, the team aims to create a new level of powerful magnetic resonance imaging (MRI) technology to help them study how small vessel disease is related to the clearance of cerebrospinal fluid (CSF) from the brain, and to early asymptomatic AD.

Central to the project is the newly approved 7 Tesla MRI machine which uses an ultra-high magnetic field, alongside the revolutionary Tic Tac Toe radiofrequency (RF) antenna.

7T angiography in late life depression patients with the “Tic-Tac-Toe” RF coil system and without the use of invasive contrast agents. While not feasible at 3T, 7T super high-resolution acquisitions (voxel size is 0.2 mm in all directions) significantly improve the conspicuity of small arterioles.
7T angiography in late life depression patients with the “Tic-Tac-Toe” RF coil system and without the use of invasive contrast agents. While not feasible at 3T, 7T super high-resolution acquisitions (voxel size is 0.2 mm in all directions) significantly improve the conspicuity of small arterioles.

Advanced imaging studies

Researcher Tamer Ibrahim says, “Alzheimer's disease is one of the leading causes of death in the United States so we want to develop advanced imaging techniques that can help researchers better understand the underlying mechanisms relating small vessel disease and Alzheimer's disease. We hope that this research will lead to the identification of new prevention and treatment targets for this widespread and debilitating disease.”

Amyloid clearance and CSF flow

The link between the buildup of the abnormal amyloid protein within the brain and AD has led the researchers to examine how CSF pulsatile attributes are associated with amyloid clearance from the brain. Naturally, CSF follows a path through the cerebral ventricles, carrying out amyloid, to be finally absorbed into the blood and excreted through kidneys and liver. However, says Ibrahim, “In a study of individuals with preclinical Alzheimer's disease, researchers found lower levels of amyloid in a sample of CSF collected from the spine, and thus, they have theorized that the fluid isn't sufficiently clearing amyloid in this population.”

At the same time, small vessel disease in the brain is seen as white matter hyperintensities (WMH) in the brain, and this is linked to depression in older people. However, the exact nature of this change is difficult to trace due to the lack of detail with conventional MRI at 3T, hindering the exploration of the mechanisms underlying depression.

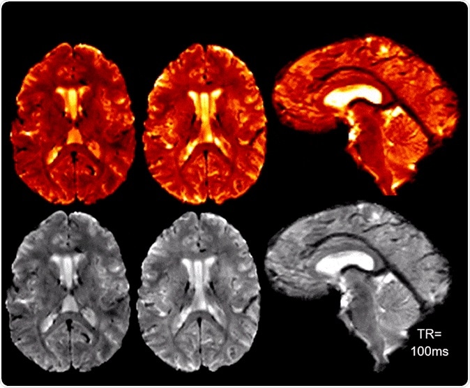
High SNR/CNR allows for real-time 7T MRI for brain pulsatility and CSF flow measurements. Credit: Radiofrequency (RF) Research Facility.
High SNR/CNR allows for real-time 7T MRI for brain pulsatility and CSF flow measurements. Credit: Radiofrequency (RF) Research Facility.

7T MRI

The team will help develop a new generation of imaging technology using the combination of these two imaging and antenna devices. Their focus is on achieving the highest ever resolution of the head and neck, with respect to both time and space. Ibrahim is already supervising the whole body 7T MRI device at Pitt’s Swanson School of Engineering, one of the most powerful in the world at human MRI imaging, and capable of allowing a very close look into structure and function of the human brain.

This imaging tool is one of only about 60 in the whole world and has been used to study human anatomy as well as to conduct experiments. At 7T MRI, arterioles in the brain become conspicuous, enabling the study of small vessel disease.

The problems that currently plague 7T MRI imaging of the brain include the long time required to complete a scan and preparation for individual patients; the unacceptably high loss of RF excitation intensity; the risk of heating with RF technology; and the lack of safety evidence for RF.

Tic Tac Toe

The Tic Tac Toe is a system of RF coils that has been built and optimized in Ibrahim’s laboratory, and is designed to maximize the output from 7T MRI imagers. It consists of a set of transmitting antennas and receiving antennas clustered in a manner that will align to the human head. Multiple hours of simulations lie behind the development of this advanced antenna, designed with full-wave electromagnetic software from the same lab.

The aim

To better understand the origin and implications of this change, the team aims to develop a new 7T RF coil system based on the Tic Tac Toe model, that will eventually reveal more about the neurological abnormalities, and help to develop a better framework of treatment and to manage depression. Ibrahim hopes the use of ultrahigh field MRI will allow them to see the WMH lesions with greater clarity, as well as other features of small vessel disease. This would help reveal the underpinnings of depression as well.

Benefits

How will the increased magnetic field strength or the cutting-edge antenna technology help with AD? Research on AD has been hindered by poor imaging technology with respect to the brain changes that predate and occur in this disease.

The scientists are hopeful that their work will produce a system with dramatically increased imaging resolution, providing more detailed data on how small vessel disease is associated with abnormal CSF flow in AD. Ibrahim describes the contribution of the Tic Tac Toe system: “The Tic-Tac-Toe RF coil system is a novel design that addresses many of the technical difficulties associated with ultrahigh field human MRI.  Our system provides highly consistent and homogenous excitation across different patients, which in turn provides improved images.”

The researchers are involved in developing highly technical engineering devices, but they apply these machines to solve clinical problems. As Ibrahim says, “This is a great example of how engineering innovation done in the Swanson School of Engineering translates into medicine.”

Sources:
  • A New Offensive against Alzheimer’s Disease Supported by a $3.7M NIH Grant, Tamer Ibrahim and Collaborators Will Use Next Generation Tic Tac Toe 7T MRI Technology for Real-Time Visualization of CSF Flow in the Brain - https://www.engineering.pitt.edu/
  • “Tic-Tac-Toe”-Themed MRI Technology Easy Win for Neurological Disease Researchers University of Pittsburgh Bioengineer Tamer Ibrahim secures nearly $5M in NIH funding for his RF coil system capable of high-resolution brain imaging - https://www.engineering.pitt.edu/
Dr. Liji Thomas

Written by

Dr. Liji Thomas

Dr. Liji Thomas is an OB-GYN, who graduated from the Government Medical College, University of Calicut, Kerala, in 2001. Liji practiced as a full-time consultant in obstetrics/gynecology in a private hospital for a few years following her graduation. She has counseled hundreds of patients facing issues from pregnancy-related problems and infertility, and has been in charge of over 2,000 deliveries, striving always to achieve a normal delivery rather than operative.

Citations

Please use one of the following formats to cite this article in your essay, paper or report:

  • APA

    Thomas, Liji. (2023, April 06). “Tic-Tac-Toe” tackles Alzheimer’s disease. News-Medical. Retrieved on January 25, 2026 from https://intakehealthlab.com/news/20191203/Tic-Tac-Toe-tackles-Alzheimers-disease.aspx.

  • MLA

    Thomas, Liji. "“Tic-Tac-Toe” tackles Alzheimer’s disease". News-Medical. 25 January 2026. <https://intakehealthlab.com/news/20191203/Tic-Tac-Toe-tackles-Alzheimers-disease.aspx>.

  • Chicago

    Thomas, Liji. "“Tic-Tac-Toe” tackles Alzheimer’s disease". News-Medical. https://intakehealthlab.com/news/20191203/Tic-Tac-Toe-tackles-Alzheimers-disease.aspx. (accessed January 25, 2026).

  • Harvard

    Thomas, Liji. 2023. “Tic-Tac-Toe” tackles Alzheimer’s disease. News-Medical, viewed 25 January 2026, https://intakehealthlab.com/news/20191203/Tic-Tac-Toe-tackles-Alzheimers-disease.aspx.

Comments

The opinions expressed here are the views of the writer and do not necessarily reflect the views and opinions of News Medical.
Post a new comment
Post

Sign in to keep reading

We're committed to providing free access to quality science. By registering and providing insight into your preferences you're joining a community of over 1m science interested individuals and help us to provide you with insightful content whilst keeping our service free.

or

While we only use edited and approved content for Azthena answers, it may on occasions provide incorrect responses. Please confirm any data provided with the related suppliers or authors. We do not provide medical advice, if you search for medical information you must always consult a medical professional before acting on any information provided.

Your questions, but not your email details will be shared with OpenAI and retained for 30 days in accordance with their privacy principles.

Please do not ask questions that use sensitive or confidential information.

Read the full Terms & Conditions.

You might also like...
Ageing slows brain protein clearance and shifts synaptic waste to microglia